打开应用

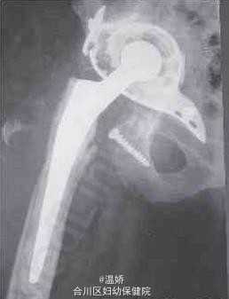
全髋关节置换翻修术后周围血管肉瘤

温医师   重庆市合川区妇幼保健院

主诉 病史

患者为84岁女性,因右髋关节疼痛入院。在过去的数月中,疼痛逐渐加重,活动明显受限。近来其疼痛、关节僵硬度以及右髋周围发热情况加重。

发布于 15-03-18 17:09

1 个评论

发送