下载或打开 医联APP 查看完整评论
立即下载
打开APP
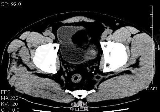
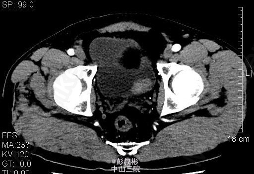
男性,54岁,血尿1月余。盆腔CT:膀胱左侧壁肿块,约27×23mm,考虑膀胱癌可能性大。患者家属要求保留膀胱,中腹部CT平扫+增强扫描+CTU,结合CTU:膀胱左侧可见一充盈缺损影,大小约34×25mm,双侧肾盂肾盏未见扩张,其内未见异常密度影,双侧输尿管通畅,未见增宽或狭窄。双肾大小、形态未见异常,双肾可见多发低密度影,CT值-15~15HU,最大约14×13mm,增强扫描强化不明显。双侧肾上腺大小、形态未见异常,其内未见异常密度影,增强扫描未见异常强化。膀胱充盈良好,膀胱左后壁可见一类圆形肿块向腔内突出,大小约34×25mm,增强扫描可见明显强化。前列腺不大,其内未见异常密度影。胆囊体积不大,囊壁增厚,可强化,其内未见异常密度影。片内所见肝实质密度普遍性减低,CT值约48HU,低于同层面脾实质CT值。


