下载或打开 医联APP 查看完整评论
立即下载
打开APP
打开应用
膀胱肿瘤电切实录--看看膀胱癌长这样
彭医师
中山大学附属第三医院
肿瘤
膀胱肿瘤
膀胱癌
主诉 病史
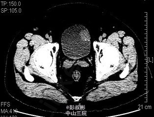
68岁,男性,反复肉眼血尿3个月。盆腔CT:膀胱左前下侧壁约20×21×21 mm肿块,考虑膀胱癌可能性大。术前诊断:膀胱癌。患者合并心肺功能不全,要求保留膀胱。
发布于 15-03-13 17:03
医联推荐你看
膀胱癌
膀胱癌。
膀胱癌。
共
32
个评论
查看更多评论
发送
0