下载或打开 医联APP 查看完整评论
立即下载
打开APP
患者,男,61岁。 主诉:排尿费力半月。 现病史:患者于半月前无明显诱因开始出现排尿费力,小便次数增多,未行特殊处理,患者感症状逐渐加重,于2015.9.14在我院门诊行泌尿系B超及膀胱镜检查示膀胱肿瘤,为进一步治疗今住院。 既往史:患者于2014.6有膀胱肿瘤电切手术史术后病检示低级别浸润性尿路上皮癌,胃癌手术史。
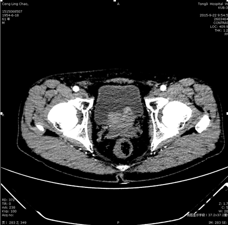
查体:T 36.3℃ P66 bpm Bp97 /51mmHg ,腹平软,无压痛及反跳痛,双肾区无叩痛,肠鸣音正常,双下肢无水肿。外生殖器无畸形。 辅助检查: 2015.9.14同济门诊B超示膀胱实质性占位,2015.9.17同济膀胱镜示膀胱多发占位性病变,尿道占位 CT:膀胱肿块,建议进一步检查;肝内低密度影,囊肿可能;左侧肾上腺结合部增粗,建议结合临床及进一步检查。胸椎、腰椎椎体多发结节影,建议结合临床及进一步检查。

诊断:膀胱肿瘤 处理:经尿道膀胱肿瘤电切术
随访:磁共振:膀胱肿瘤术后;膀胱三角区肿瘤性病变,侵犯前列腺、精囊可能; 双侧盆壁及双侧腹股沟淋巴结增多、增大。 病检结果示高级别尿路上皮癌前列腺来源可能性大。建议行进一步检查。 随访磁共振:膀胱肿瘤术后;膀胱三角区肿瘤性病变,侵犯前列腺、精囊可能; 双侧盆壁及双侧腹股沟淋巴结增多、增大。
