打开应用

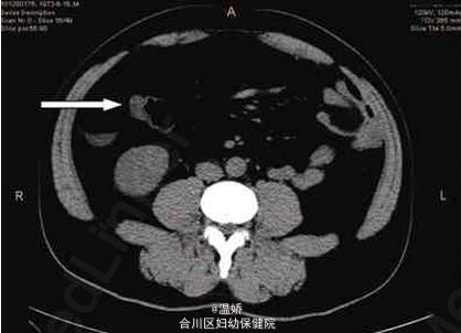
小肠血管脂肪瘤伴胰腺异位 合并小肠憩室套叠

温医师   重庆市合川区妇幼保健院
脂肪瘤 肠憩室 脂肪瘤

主诉 病史

患者,男性,37岁,因“黑便3天”入院。患者3天前饮白酒1斤后出现解黑色糊状大便,每日3~4次,每次约100 g,无明显便血、腹痛、发热、头晕、心悸、冷汗等不适。来我院急诊,查粪隐血(+++),上腹部CT示右下腹结肠肠壁可疑增厚,拟“上消化道出血”收入院。患者10年前胃镜提示胃息肉,饮白酒史10余年,每日约100 g。查体未见异常,考虑上消化道出血,溃疡病可能收入院。

发布于 15-03-10 11:18

2 个评论

发送