下载或打开 医联APP 查看完整评论
立即下载
打开APP
患者男,5岁,因“间断呕吐1年余”收住院。患儿入院前1年反复出现呕吐,呕吐物为胃内容物,常自行缓解,间断发作。
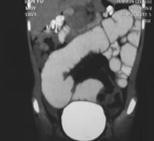
【体格检查】 腹部体查未发现明显阳性指征。上消化道造影发现钡剂走行至约第4组小肠位置时肠管明显扩张,最宽直径达5 cm左右,见频繁逆蠕动,造影剂通过受阻,似可见一类圆形充盈缺损,提示不全肠梗阻。 【辅助检查】 腹部彩超提示右侧腹部局部小肠扩张,肠壁增厚,局部肠壁似见连续不完整,与之紧密相连可见一个混合回声团块;腹部增强CT提示空回肠交界及部分回肠明显扩张于膀胱上方,通过受阻,肠壁明显不规则增厚,伴显著异常强化,周围可疑异常强化病灶。


【诊断】 腹腔占位,且与小肠关系密切。 【治疗】 结合病史、体征、相应实验室及影像学检查,考虑为腹腔肿物致不全肠梗阻。行剖腹探查手术,术中见距Treitz韧带230 cm小肠处,小肠系膜对侧肠壁上一黄色占位性病变,约6 cm×5 cm×4 cm大小,表面富含脂肪,突向肠腔生长,并致瘤体上方20 cm小肠明显扩张,形成不全肠梗阻。术中诊断为小肠肿瘤,行小肠肿瘤切除、肠切除、肠吻合术,术后病理检查证实为小肠脂肪瘤。
术后随访1年,恢复良好,无特殊临床症状。