打开应用

罕见左室流出道梗阻一例

孙医师   中国人民解放军第四军医大学西京医院

主诉 病史

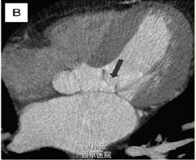
48 岁男性患者,4 年前因梗阻型肥厚性心肌病曾于我院医疗中心行室间隔无水酒精消融术。尽管术后使用β受体阻滞剂、异搏定和丙吡胺,患者仍有劳力性呼吸困难症状出现。 结合既往心脏 CT 片对照,未发现有意义的冠状动脉病变。室间隔壁为 12mm 厚。更进一步,我们观察到收缩期时二尖瓣有一个不同寻常的组织突出于左室流出道(图 1B)。 这种机械方面的梗阻我们再次用经胸壁超声得以证实,当多余的组织靠近室间隔时,该组织与最大收缩期左室流出道的压力阶差为 80mmHg(图 1B)。 心脏 MRI 再次确认出现的二尖瓣附件组织阻塞左室流出道,加速了收缩期的血液流动(图 1C)

发布于 15-01-25 18:19

1 个评论

发送