下载或打开 医联APP 查看完整评论
立即下载
打开APP
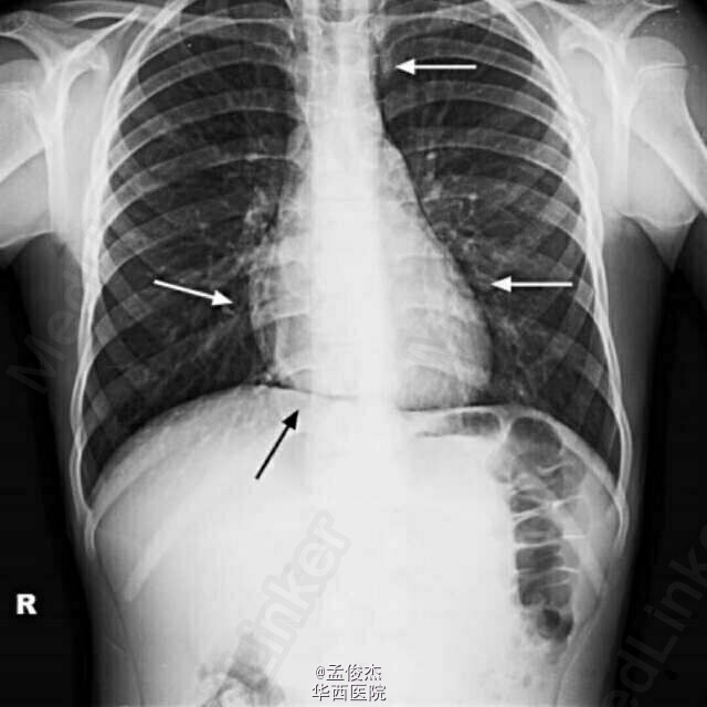
患者男性,11岁,在运动中摔倒,胸前壁受到橄榄球的挤压,背部受到3个人挤压。当时没有明显症状。2个小时后突感胸骨后剧烈痛入院。深呼吸或者咳嗽时胸痛加重,无哮喘胸廓疾病史。体格检查发现:心率74次/分,氧饱和度99%,呼吸24次/分,体温36.8℃,胸壁没有血肿,咽喉没有水肿,面部,颈部,胸背部也没有皮下气肿。胸骨未见骨折。未闻及哮鸣音。给予对乙酰氨基酚后疼痛显著减轻。 胸部平片发现纵膈和心包周围有气体,支气管镜排除论文气管和支气管损伤,心电图未发现明显异常。血常规和CRP未见异常。超声检查示心脏周围有游离气体。 给予头孢他啶7天预防感染,对乙酰氨基酚控制疼痛。疼痛在12h后缓解。3日后复查超声心动图显示气体被完全吸收。7日后复查胸片示气体完全吸收。第8天出院。 纵隔气肿和心包积气最常见的症状是胸骨后尖锐剧烈的疼痛,呼吸困难等。咳嗽,深呼吸,吞咽和平卧时症状加重。胸片即可诊断纵隔气肿和心包积气。 纵隔气肿和心包积气是橄榄球运动中非常罕见的损伤。在出现胸部创伤和疼痛时运动员和教练都应当警惕,尽量在1个小时候之内将伤员送到医院。治疗不及时会导致气体聚集增多,器官血管神经受压。
