下载或打开 医联APP 查看完整评论
立即下载
打开APP
打开应用
看出问题了吗?
李医师
四川大学华西第二医院
主诉 病史
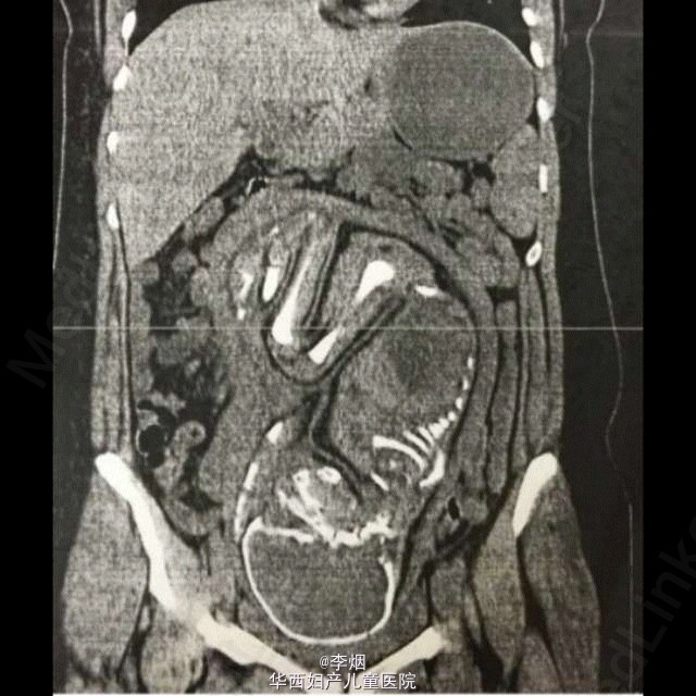
谁能看出这个CT图有什么异常?
发布于 15-01-01 22:13
医联推荐你看
双下肢水肿不一定就是肾出问题了
能看出问题吗?
有谁能看出这个x线的问题吗?
共
22
个评论
查看更多评论
发送
0