下载或打开 医联APP 查看完整评论
立即下载
打开APP
打开应用
能看出问题吗?
史医师
中山大学附属第一医院
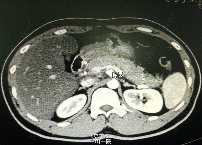
主诉 病史
这是一张ct片,发现什么问题了吗?
发布于 15-02-02 00:57
医联推荐你看
能看出这是什么吗?
有谁能看出这个x线的问题吗?
看出问题了吗?
共
3
个评论
查看更多评论
发送
0