下载或打开 医联APP 查看完整评论
立即下载
打开APP
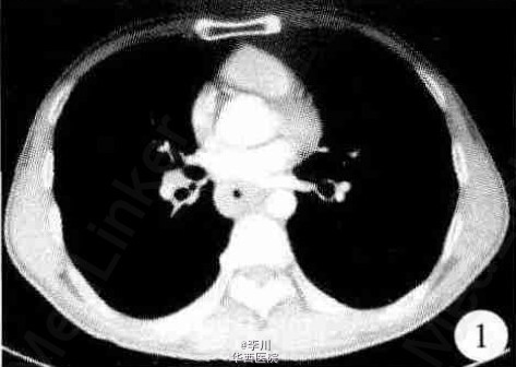
患者, 男, 62 岁。 因进食后胸骨后隐痛 3 个月入院。胸部 CT 示 : 食管中下段管壁增厚 (图 1),考虑食管癌, 纵隔未见肿大淋巴结。食管 X 线钡餐造影示:食管中段管腔充盈缺损, 病变长约 4 cm。电子胃镜检查示:距门齿 31 ~ 35 cm 处食管前壁见一不规则隆起, 表面黏膜糜烂伴有浅溃疡, 质脆易出血。胃镜下取活检见肿瘤细胞呈巢团状弥漫性分布于鳞状上皮下, 考虑为食管癌。行传统左胸后外侧切口手术治疗, 术中探查见肿瘤位于食管中段, 其上缘距主动脉弓下缘约 6 cm, 病变无明显外侵,距离肿瘤上下缘 8 cm 切除病变食管, 清扫区域淋巴结 (主动脉弓下、 隆突下、 食管旁、 下肺韧带、 肺门、 胃左) 共 13 枚一并送检。术毕剖开病变食管观察, 病变大小约 4.0 cm×2.5 cm,肿瘤向腔内呈蘑菇样突起, 边缘与其周围黏膜境界较清楚, 瘤体表面有浅表溃疡。术后病理检查:确诊为食管原发性恶性黑色素瘤。

