下载或打开 医联APP 查看完整评论
立即下载
打开APP
患者周XX ,男性,55岁 主诉:因吞咽困难入院治疗 病史:患者平素健康,近期出现不明原因的吞咽哽咽感,随病程发展逐步加剧。近日出现吞咽困难,梗噎明显。
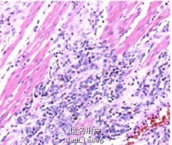
查体:温36.5℃,血压98/65mmHg,患者神志清楚,消瘦貌,皮肤及黏膜未见黑色素斑,浅表淋巴结未触及,心肺无异常,腹软,未触及肿块,肝脾未触及。 辅查: 胃镜示距门齿23~25cm处食管隆起凹陷性病灶,局部黏膜僵硬,管腔狭窄,胃镜诊断为食管中段癌。胃镜病理诊断为食管鱗状细胞癌。 颈胸部CT示食管胸上段占位性病变,符合食管癌改变。上消化道造影示食管上段癌。病理提示瘤细胞侵犯食管黏膜鳞状上皮,细胞异型性明显。 免疫组织化学检查示:黑色素瘤蛋白(组合型)、黑色素瘤抗原(HMB45)。


诊断治疗经过: 行胸腹腔镜联合食管癌根治术,术后病理示食管溃疡型恶性肿瘤,符合恶性黑色素瘤, 诊断为食管中段恶性黑色素瘤IIA期。
随访:术后进行化学疗法4个周期,随访半年未见复发及转移病灶,一般情况良好。 讨论 原发性食管恶性黑色素瘤好发于食管中下1/3段,多数于腔内呈息肉样生长。患者出现吞咽困难、胸骨后不适、体质量下降为其常见症状,部分患者以黑便为主要表现,还可表现为上腹痛、呕吐等。PMME发展迅速、恶性程度高, 50%的患者在确诊时已出现远处转移,常见的转移部位为肝脏、纵隔、食管周围淋巴结。 原发性食管恶性黑色素瘤无特异的临床表现和影像学特征,应增强对其的认识,将胃镜、病理和免疫组织化学检查相结合,提高诊断率。