下载或打开 医联APP 查看完整评论
立即下载
打开APP
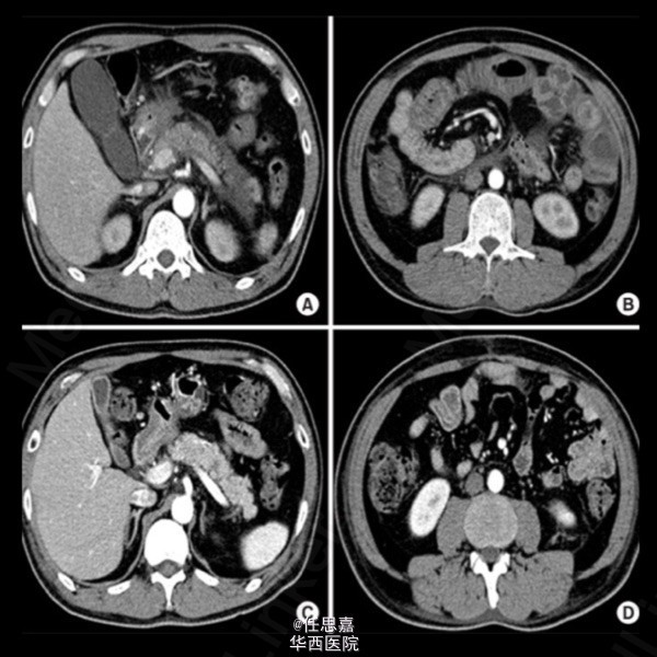
53岁男性,因“腹部绞痛伴胆汁性呕吐3天”入院,入院前10天患者出现双踝关节疼痛、肿胀,双上下肢远端皮疹。无外伤史,无药物史,勿暴饮暴食,近期无饮酒史,既往体健,无家族史。查体:T 36.4℃,BP 130/80mmHg,HR 70次/分,双上下肢远端可见红斑,双踝关节肿胀伴轻压痛。全腹压痛,中上腹为主,无明显反跳痛,无肝脾大,肠鸣减少,胫前水肿。辅助检查:HGB 142g/L,WBC 16.2*10^9/L,PLT 493*10^9/L,CRP 5.74 mg/dL,GLU 136 mg/dL, BUN 26 mg/dL, CREA 1.4 mg/dL,血Ca 8.0 mg/dL,血清白蛋白 18g/L,AMY 3,093 U/L,LIP 4,063 U/L, ALT 103 IU/L,AST 128 IU/L,小便隐血(+),24h尿蛋白定量4.9g,血清IgA 331 mg/dL。RF(-),ANA(-),ANCA(-)。腹部CT显示:胰周积液,多节段肠壁增厚。肾活。检:毛细血管增生性肾小球肾炎,免疫荧光法可见肾小球系膜IgA沉积。皮肤活检:非特异性血管周围少量淋巴细胞浸润。考虑诊断“过敏性紫癜并发急性胰腺炎,肾小球肾炎”。予胃肠减压,甲强龙静滴60mg/d,8天后患者AMY、LIP恢复正常,第9天复查腹部CT未见明显异常。随访3月,小便仍有隐血、蛋白。 摘自J Rheum Dis. 2012 Feb;19(1):43-46. English. Published online February 28, 2012. http://dx.doi.org/10.4078/jrd.2012.19.1.43


