打开应用

盆腔巨大神经内分泌肿瘤

刘健医师   成都市第二人民医院
盆腔肿瘤 肿瘤 盆腔占位

主诉 病史

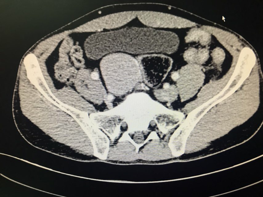
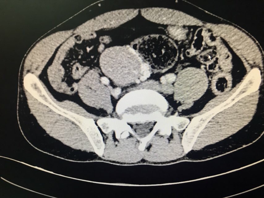
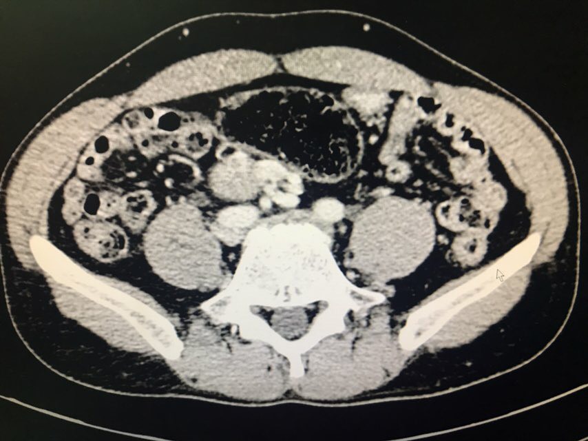
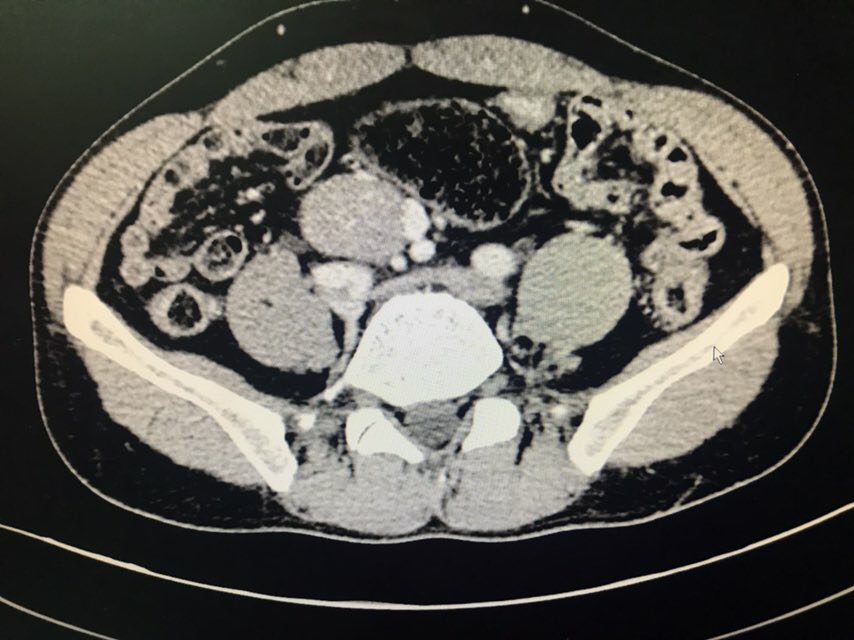
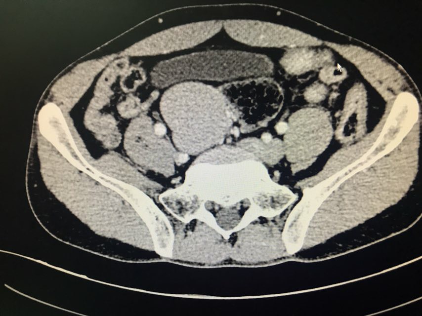
患者男性,43岁。主诉:发现盆腔占位1+月。现病史:患者1+月前于当地医院体检发现盆腔包块,于2018-08-28我院行泌尿系超声示:右侧髂窝实性占位伴钙化;2018-08-31我院行CT下腹部盆腔增强扫描示:下腹部及盆腔内多个软组织结节肿块影,肝右后叶上段囊肿;2018-09-07我院行病理检查示:盆腔肿瘤,倾向神经内分泌肿瘤,需行免疫组化染色检查;2018-09-07我院行膀胱超声示:超声引导下膀胱右侧盆腔内实性团块CNB。现患者为求手术治疗,于我院门诊就诊,以“盆腔肿瘤”收入我科。既往史无特殊。

查体 辅查

查体:双侧腰部外形对称,皮肤无红肿,双肾区无叩痛,双肾下极未扪及,双输尿管行程区无压痛,膀胱区无隆起及压痛。双侧腹股沟区未扪及异常,无压痛;阴囊及尿道口未查。辅助检查:泌尿系超声(2018-08-28本院):右侧髂窝实性占位伴钙化;CT下腹部盆腔增强扫描(2018-08-31本院):下腹部及盆腔内多个软组织结节肿块影,肝右后叶上段囊肿;病理检查(2018-09-07本院):盆腔肿瘤,倾向神经内分泌肿瘤,需行免疫组化染色检查;膀胱超声(2018-09-07本院):超声引导下膀胱右侧盆腔内实性团块CNB。 

诊断 处理

诊断:盆腔肿瘤治疗:剖腹探查+盆腔占位切除术

随访 讨论

患者膀胱右后方实性占位,穿刺活检倾向神经内分泌肿瘤,有手术指征。术中盆腔占位与周围重要组织器官粘连紧密,完整游离后整个创面较大,手术顺利,术后给予曲克芦丁脑蛋白水解物注射液2ml治疗。等待最终病理结果回报后制定下一步放化疗方案。 

发布于 19-12-13 12:50

1 个评论

发送