打开应用

皮肤纤维组织细胞瘤1例

伍医师   上海市第一人民医院
纤维组织细胞瘤 组织细胞瘤

主诉 病史

男,27岁,左腿褐黑色皮疹4-5年,无明显自觉症状

查体 辅查

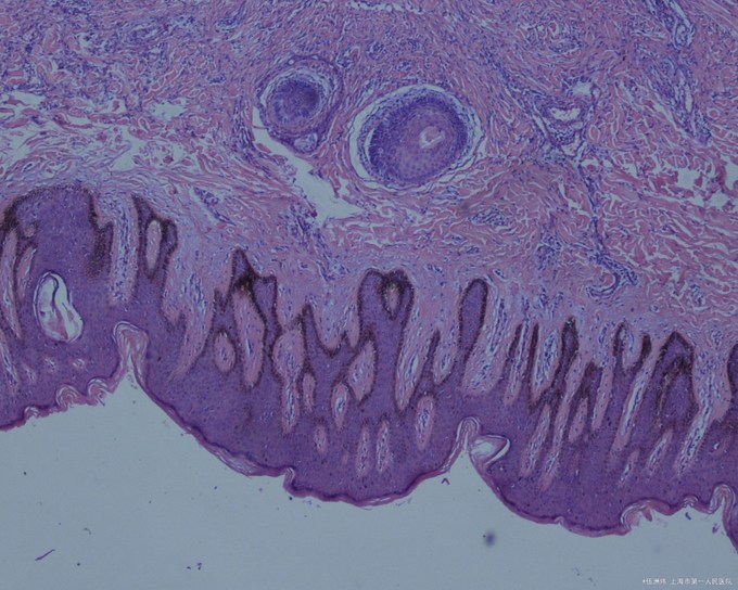
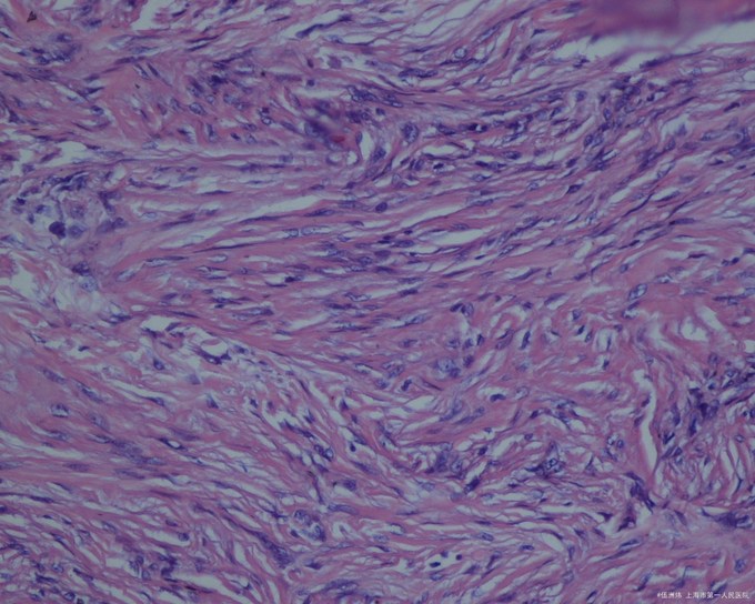
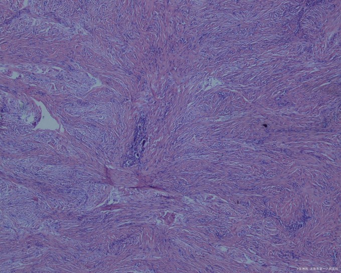
皮损组织病理检查显示结节位于真皮内,无包膜,境界不清,与周围正常组织有明显的交错,下界清楚,上界与表皮之间常夹着一条“境界带”,但瘤组织有时也可与表皮相连。病变组织由成束的成纤维细胞、组织细胞和成熟或幼稚的胶原纤维组织组成,相互交织;病变上方的表皮明显增生,棘层肥厚,皮突延长。偶见有核丝分裂象。

诊断 处理

诊断:皮肤纤维组织细胞瘤 治疗:完整切除

随访 讨论

病因 本病的真正病因不明。本病的发生可能是反应性的,与皮肤局部轻微损伤有关,如昆虫叮咬或钝器损伤。亦有人认为与病毒感染也有一定关系。但克隆性分析提示本病是肿瘤性的。 临床表现 多见于四肢伸侧,亦可见于其他部位。皮损表现为圆形或卵圆形丘疹或结节,直径约1cm通常不超过2cm,偶2cm或更大。隆起,坚硬,基底可推动,但与表皮相连。表面的皮肤光滑或粗糙,色泽深浅不一,可为正常肤色,亦可为黄褐色、黑褐色或淡红色。多见于中青年,罕见于儿童,好发于女性。皮损常持久存在,少数可数年后自行消退。通常无自觉症状,偶或有轻度疼痛感。一般为单发,偶或多发。 检查 皮损组织病理检查显示结节位于真皮内,无包膜,境界不清,与周围正常组织有明显的交错,下界清楚,上界与表皮之间常夹着一条“境界带”,但瘤组织有时也可与表皮相连。病变组织由成束的成纤维细胞、组织细胞和成熟或幼稚的胶原纤维组织组成,相互交织;病变上方的表皮明显增生,棘层肥厚,皮突延长。偶见有核丝分裂象。根据肿瘤细胞成分与胶原纤维所占比例分为2种组织类型,即纤维型和细胞型。 诊断 根据临床表现和组织病理检查可以诊断。 1.局部有轻微外伤史。 2.临床表现为皮内丘疹或结节黄褐色或淡红色等,与深部组织不粘连。 3.组织病理检查符合皮肤纤维瘤病理改变。 治疗 一般不需治疗,少数损害数年内可消退。若单个损害有疼痛引起病人痛苦时可行手术切除。皮质类固醇激素皮内注射有一定的疗效。

发布于 16-01-11 10:43

28 个评论

发送