下载或打开 医联APP 查看完整评论
立即下载
打开APP
患者,女,79岁,已婚。 主诉:发现阴道块状物脱出3月。 现病史:患者1985年绝经,绝经后无异常阴道流血,流液。3月前开始发现阴道有块状物脱出,行走,排便后出现,平卧休息时可消失,近1月症状加重,休息后块状物也不能自行回缩,伴下腹坠胀,小便在阴道块状物脱出时不能自解,未脱出时小便正常,遂就诊于当地医院,妇科检查提示子宫脱垂。 月经史:5~6/30天,量中,无痛经。1985年绝经。 婚育史:21岁结婚,G11P8A1,丈夫体健。
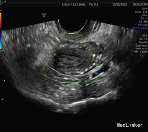
体格检查:T:36.2℃,P:79次/分,R:20次/分,BP:147/72mmHg。 专科检查:外阴萎缩,阴道畅,宫颈轻度糜烂,阴道前壁、宫体大部脱出,后壁少部脱出,子宫及双附件未及异常。 双下肢动静脉彩超:1.双侧颈动脉粥样硬化,2.右侧颈动脉粥样硬化斑块形成,3.双下肢动脉粥样硬化斑块形成,4.右侧肌间静脉血栓形成。盆腔三维:子宫内膜增厚,D-D二聚体定量 1.15 ↑ ug/mL FEU, 血脂全套:总胆固醇 5.65 ↑ mmol/L、低密度脂蛋白 3.75 ↑ mmol/L、载脂蛋白B 1.19 ↑ g/L 、余正常。血管外科会诊建议今日行下腔静脉滤器植入术,降低血栓脱落风险



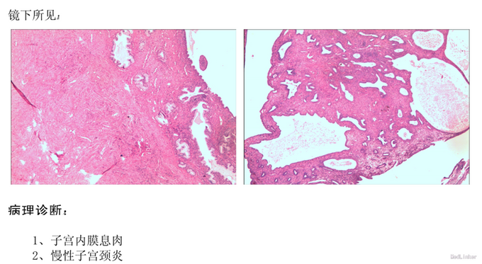
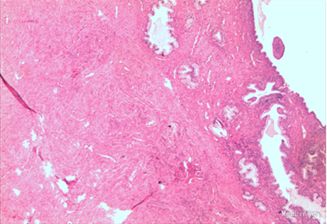
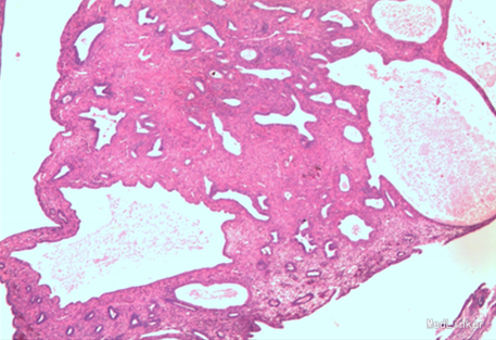
诊断:子宫脱垂III度、阴道前壁中度膨出、阴道后壁轻度膨出 手术方式:阴式全子宫切除术+阴道前后壁修补术
讨论:子宫脱垂的发病因素有哪些?


