男,71岁,因“腹痛2小时”急诊入院消化内科。既往高血压,冠心病史
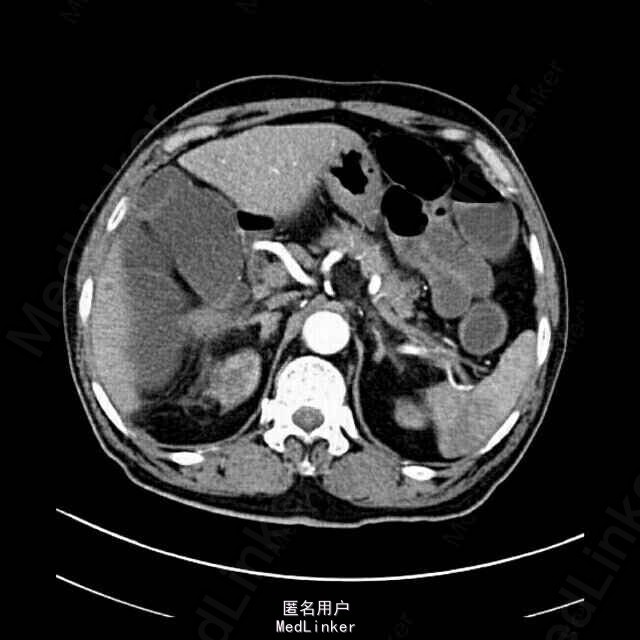
查体:血压:190/110mmHg,巩膜可疑黄染,腹稍膨隆,未见胃肠型及蠕动波,未见腹壁静脉曲张,腹肌软,上腹部压痛明显,无反跳痛,余腹无明显压痛、反跳痛,肝脾肋下未及,墨菲氏征阴性,未及包块,肝肾区无叩痛,移动性浊音阴性,肠鸣音约2-3次/分。 辅助检查:肝功、血脂:AST56U/L,GGT54U/L,LD406U/L,TBA13.9umol/L,AFU61U/L,CHOL6.82mmol/L,HDL1.67mmol/L,LDL4.13mmol/L,APOB1.59g/L。血清胰腺两项:淀粉酶测定165U/L,脂肪酶409U/L。凝血四项:APTT50.1s,TT22.9s。电肾八项:尿素氮9.1mmol/L,肌酐171.5umol/L,葡萄糖14.60mmol/L,CO218.4mmol/L。血常规:白细胞16.00×109/L,中性粒细胞12.72×109/L,红细胞5.52×1012/L,血红蛋白174g/L,HCT0.51,MCH31.6Pg。血沉未见明显异常。胸片+腹平片:心影增大,主动脉硬化。腹部未见气腹及肠梗阻征。彩超提示:1、肝内胆管壁毛糙增厚:考虑肝内胆道感染。2、待排右肾小结石。3、左肾、膀胱、前列腺、脾、胰未见明显异常。4、肠系膜上动脉未见明显异常。全腹平扫+动脉CTA示1、肠系膜上动脉下段及部分分支内可见充盈缺损,分支减少,考虑肠系膜血栓形成可能性大,伴部分小肠缺血改变,请结合临床。2、脾脏小片状低密度影,考虑脾梗塞可能性大,请结合临床。3、考虑不完全性肠梗阻,建议随访。4、目前未见明显腹主夹层动脉瘤,请结合临床。


经抑酸、护胃、护肝、补液、灌肠、胃肠减压等保守治疗后,腹痛减轻不明显,请普外一科会诊,行诊断性腹穿抽出不凝血。诊断为1、缺血性肠病:肠系膜上动脉栓塞、肠坏死待排 2、休克? 3、心功能不全 4、心律失常:房颤 5、脾梗死 6、高血压病 7、肝内胆道感染 8、右肾结石 建议手术治疗,但家属要求自动出院。
腹痛是种十分考验医生诊断能力的症状,大家对于腹痛病人的诊断有没有什么妙招呢?