下载或打开 医联APP 查看完整评论
立即下载
打开APP
1、右上腹痛伴全程肉眼淡红血尿2月 2、患者于2月前无诱因出现右上腹痛伴全程肉眼淡红血尿,可以自行缓解,无血块、血条,无尿频、尿急、尿痛,无排尿困难,当时未引起重视,未去就医,7天前右上腹痛及血尿加重,于当地人民医院就诊,诊断为:右肾占位,现为进一步诊治于来我科进一步治疗。起病以来,一般情况尚可,近期体重明显下降。
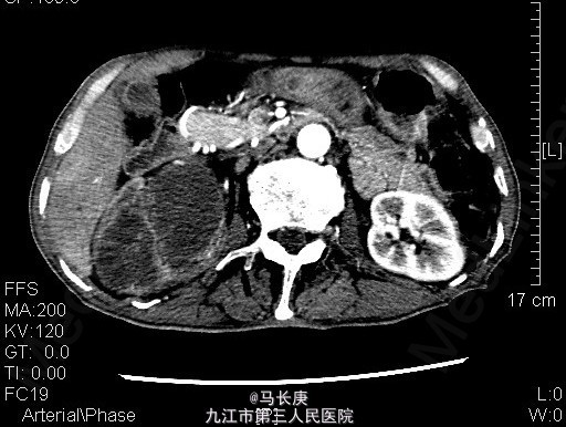
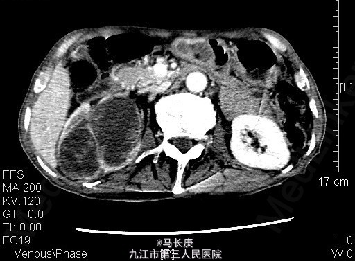
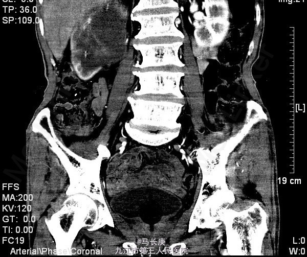
3、查体:无明显异常 4、辅助检查:当地人民医院泌尿系CT平扫+增强:1.右侧输尿管结石2.右肾占位?(未见报告),我科fish(+)CTU:肾盂癌,侵蚀右肾包膜,左肾囊肿,慢性胆囊炎。双肾核素扫描:右肾GFR:9.5,左肾48.5







5、考虑右肾盂癌 6、入院后给予双肾核素扫描、CTU检查,考虑右肾盂癌,给予抗炎、补液、治疗。现病情平稳。 术前诊断:右肾盂癌、胆囊炎、左肾囊肿、右侧输尿管结石、贫血、低蛋白血症、胆囊炎,后行右肾癌根治术,手术顺利,术后恢复较好,术后病理示:肾恶性肿瘤(高分化肉瘤)。
7、大多数肾癌患者是由于健康查体时发现的无症状肾癌,有症状的肾癌患者中最常见的症状是腰痛和血尿,由于影像学检查诊断肾癌的符合率高达90%以上,而肾穿刺活检病理检查诊断肾癌的价值有限,因此通常不做肾穿刺活检检查,对局限性或局部进展性(早期或中期)肾癌患者采用以外科手术为主的治疗方式,对转移性肾癌(晚期)应采用以内科为主的综合治疗方式,对于不能耐受手术治疗的肾癌患者通过介入治疗的方法进行肾动脉栓塞可起到缓解血尿症状的作用,这是一种姑息性治疗方法。