1、患者,男,52岁,因“发现左肾肿物3年余”入院 2、现病史:患者3年余前体检发现左肾一肿物,去年我院住院CTU检查考虑为“肾错构瘤”,未特殊处理,嘱其定期复查。今患者来诊,复查B超发现该肿物明显增大,考虑肾癌可能,为进一步诊治收住我科。
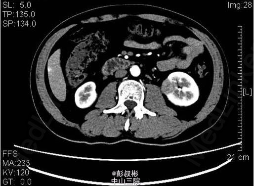
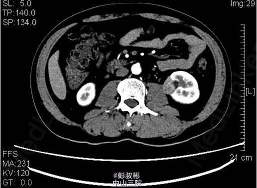
3、既往病史:高血压,高尿酸,高血脂6年,2013年行“右输尿管结石碎石取石术” 4、入院查体:未见明显异常体征。 5、影像学检查:中下腹部CT平扫+增强+CTU:左肾中盏可见结节状高密度影,直径约为6mm,基本同前。左肾下部可见大小约为36×21×23mm稍高密度影突出于包膜生长,较前明显增大,凸向肾外生长,浅分叶,其内见脂肪密度影,增强扫描可见轻度强化,病灶与左侧腰大肌关系密切。




6、左肾恶性肿瘤 高血压病(II级,极高危) 高脂血症 高尿酸血症 7、行腹腔镜下肾癌根治术
8、患者术后恢复可,顺利出院。 9、40多年来,对采用经典根治性肾切术治疗肾癌的观念巳经发生了部分变化,特别是对手术切除范围的变化(如选择适当病例实施保留同侧肾上腺根治性肾切除术、保留肾单位手术)已经达成共识,治疗方式也不再是单一的开放性手术,还包括如腹腔镜手术、机器人腹腔镜手术、单孔腹腔镜子术及小切口腹腔镜辅助手术等。开放性及腹腔镜根治性肾切除术两种手术方式的治疗效果无明显区别。 国外进行的一项前瞻性三期临床随机对照研究报道,局限性肾癌患者,行根治性肾切除术与根治性肾切除+区域淋巴结清扫术的患者在并发症发生率、总生存期、疾病进展时间、元疾病进展生存期方面均无明显差别。因为没有明确证据显示肾癌患者行区域或广泛性淋巴结切除术能提高患者的总生存时间,因此,不推荐对局限性肾癌患者行区域或扩大淋巴结清扫术。但是,若术中可触及到明显增大的淋巴结或CT 扫描发现增大淋巴结时,为了明确病理分期可行肿大淋巴结切除术