打开应用

肾癌病例

彭医师   中山大学附属第三医院

主诉 病史

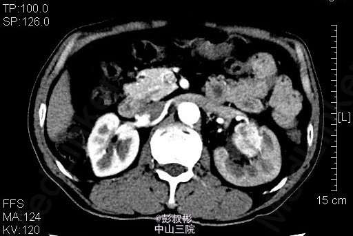
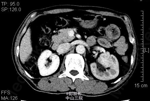
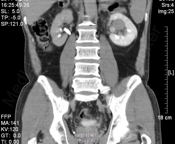
男性,51岁,发现左肾肿物2年余。反复左腰部隐痛2月余,无肉眼血尿。泌尿系B超:左肾中极见一个类圆形低回声光团,大小:30×26mm,边界不清,内部回声欠均匀。左肾实性占位病变。腹部CT:左肾占位病变,考虑为肾癌可能性大。

发布于 15-03-06 10:23

5 个评论

发送