下载或打开 医联APP 查看完整评论
立即下载
打开APP
打开应用
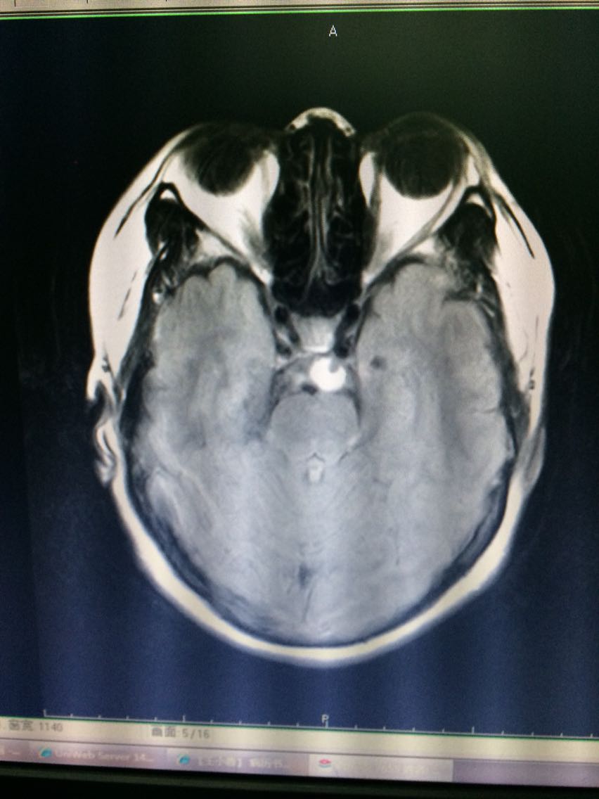
帮忙看看这张片子,在t1,t2上看不见的东西
许医师
江油市第二人民医院
神经瘤
发布于 17-02-16 04:20
打开医联APP阅读全文
医联推荐你看
各位同仁帮忙看下这张片子
帮忙看看这张心电图?
看看这MRI,奇怪啊,快来帮忙看看?
共
4
个评论
查看更多评论
发送
0