下载或打开 医联APP 查看完整评论
立即下载
打开APP
打开应用
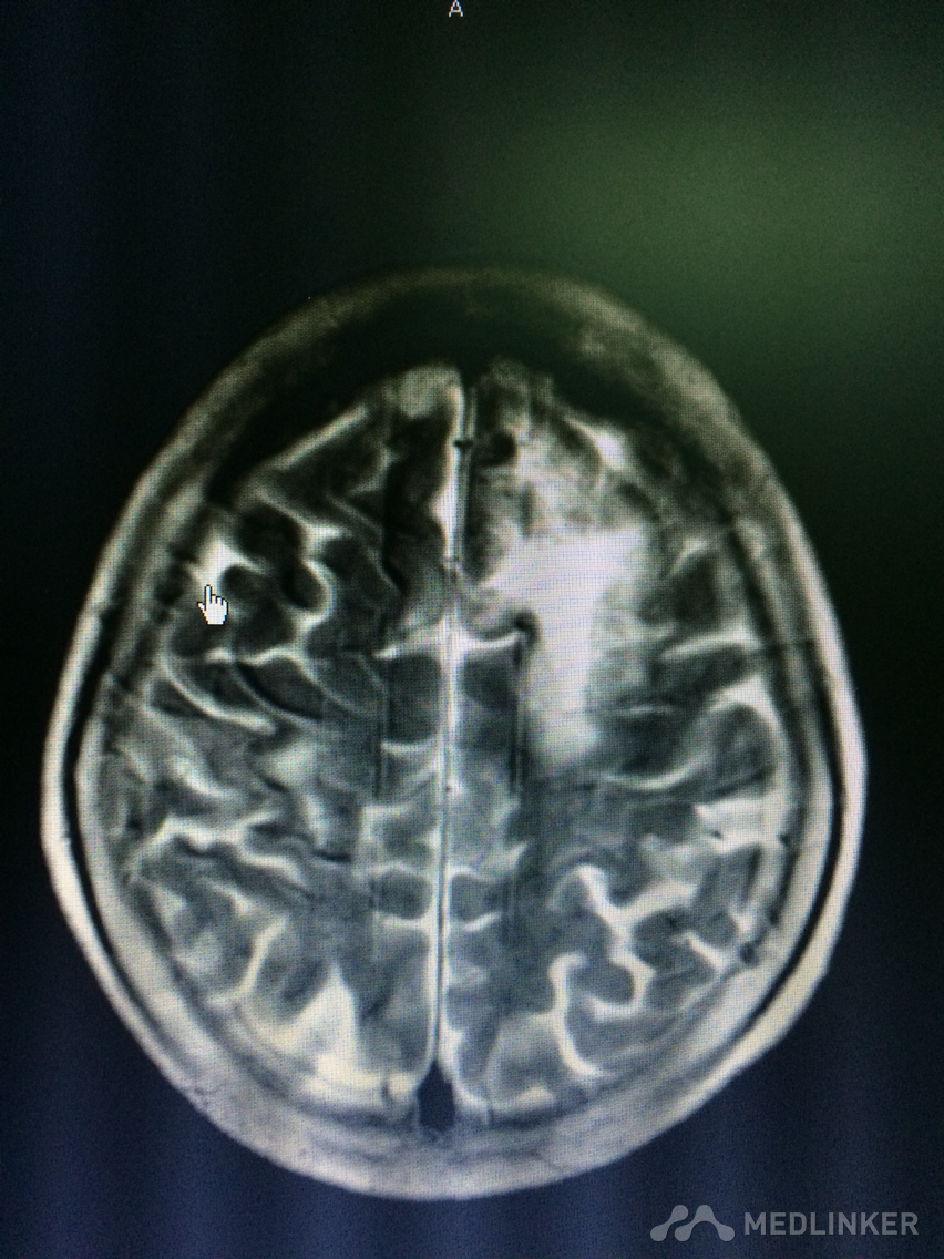
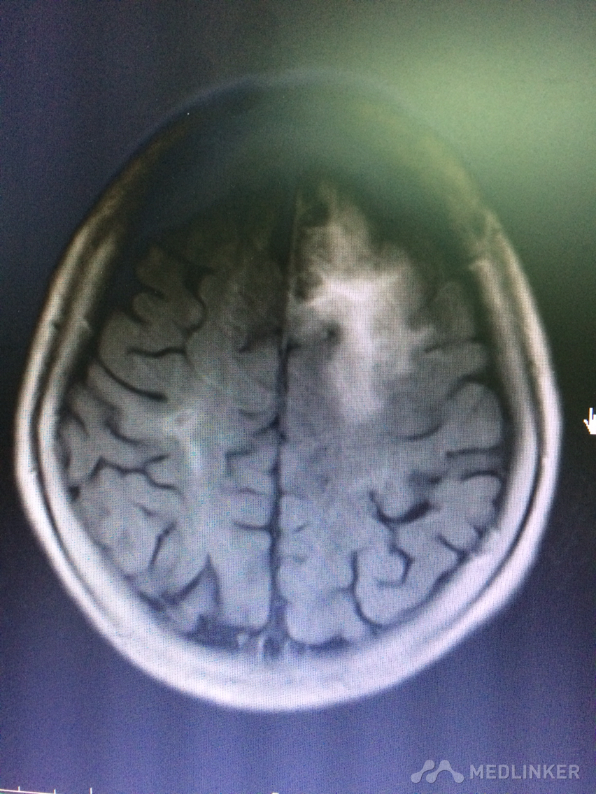
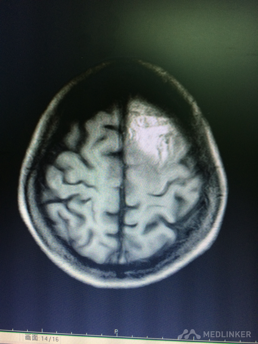
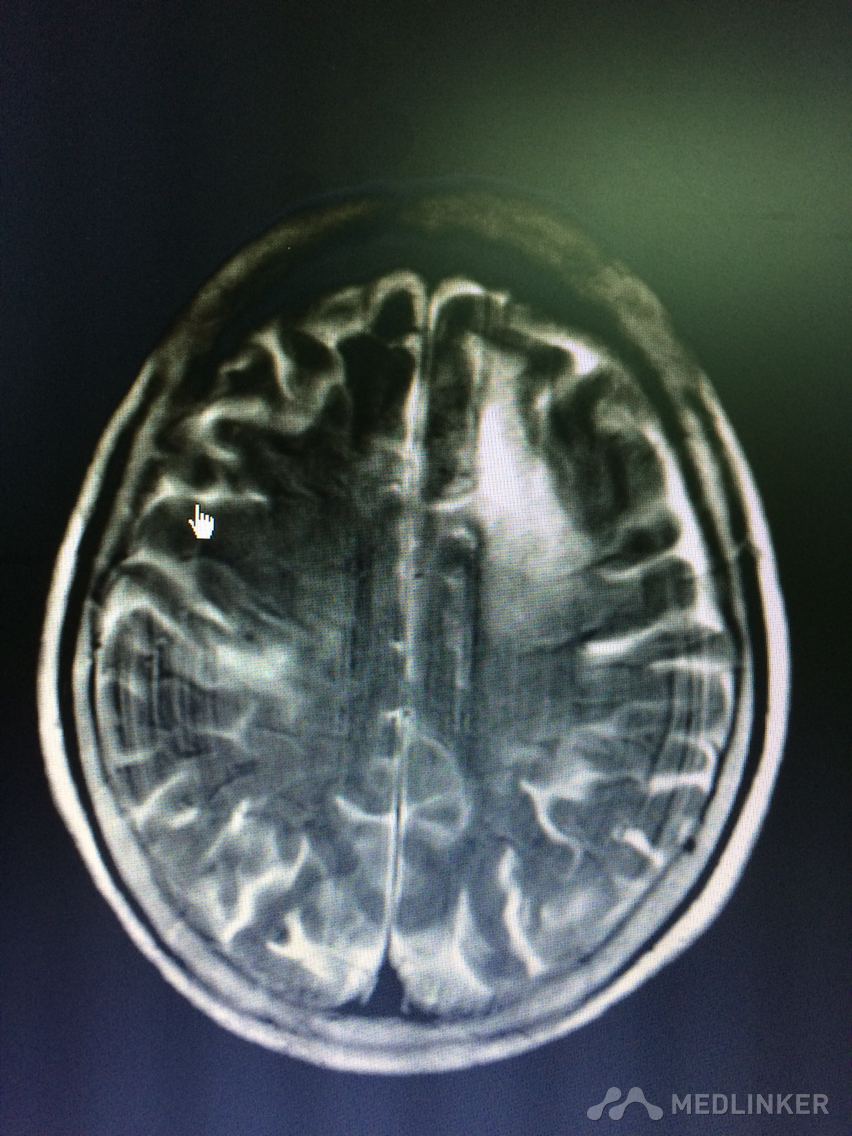
看看这MRI,奇怪啊,快来帮忙看看?
许医师
江油市第二人民医院
患者78岁老年女性,以精神行为异常和认知障碍为主要表现
发布于 16-10-16 08:17
打开医联APP阅读全文
医联推荐你看
帮忙看看心电图
帮忙看看心电图?
帮忙看看这张心电图?
共
10
个评论
查看更多评论
发送
0