下载或打开 医联APP 查看完整评论
立即下载
打开APP
打开应用
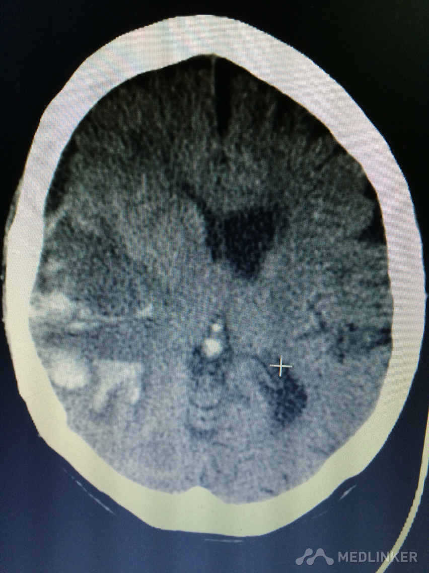
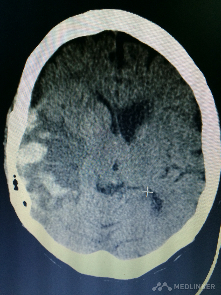
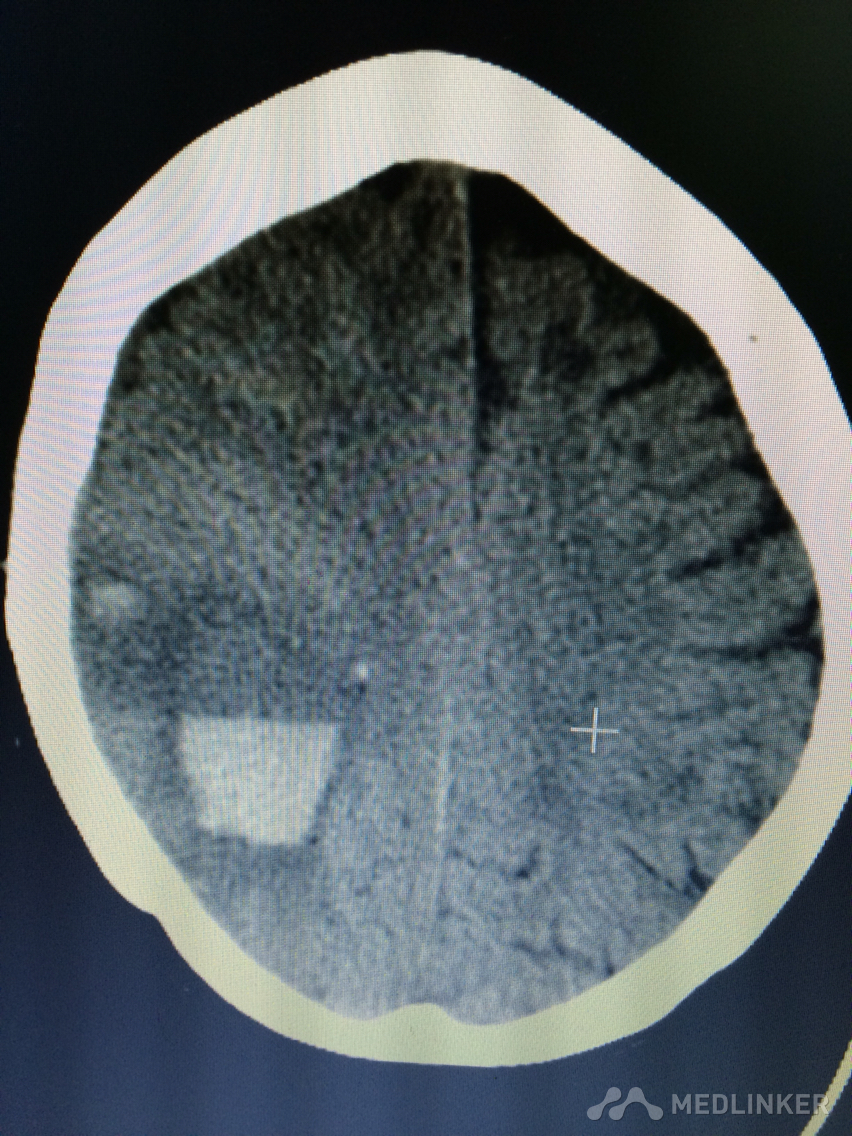
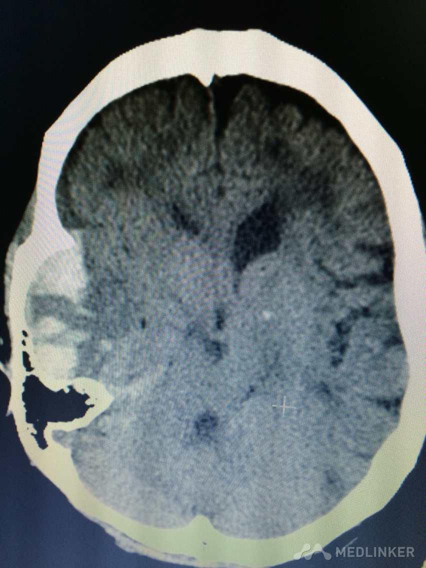
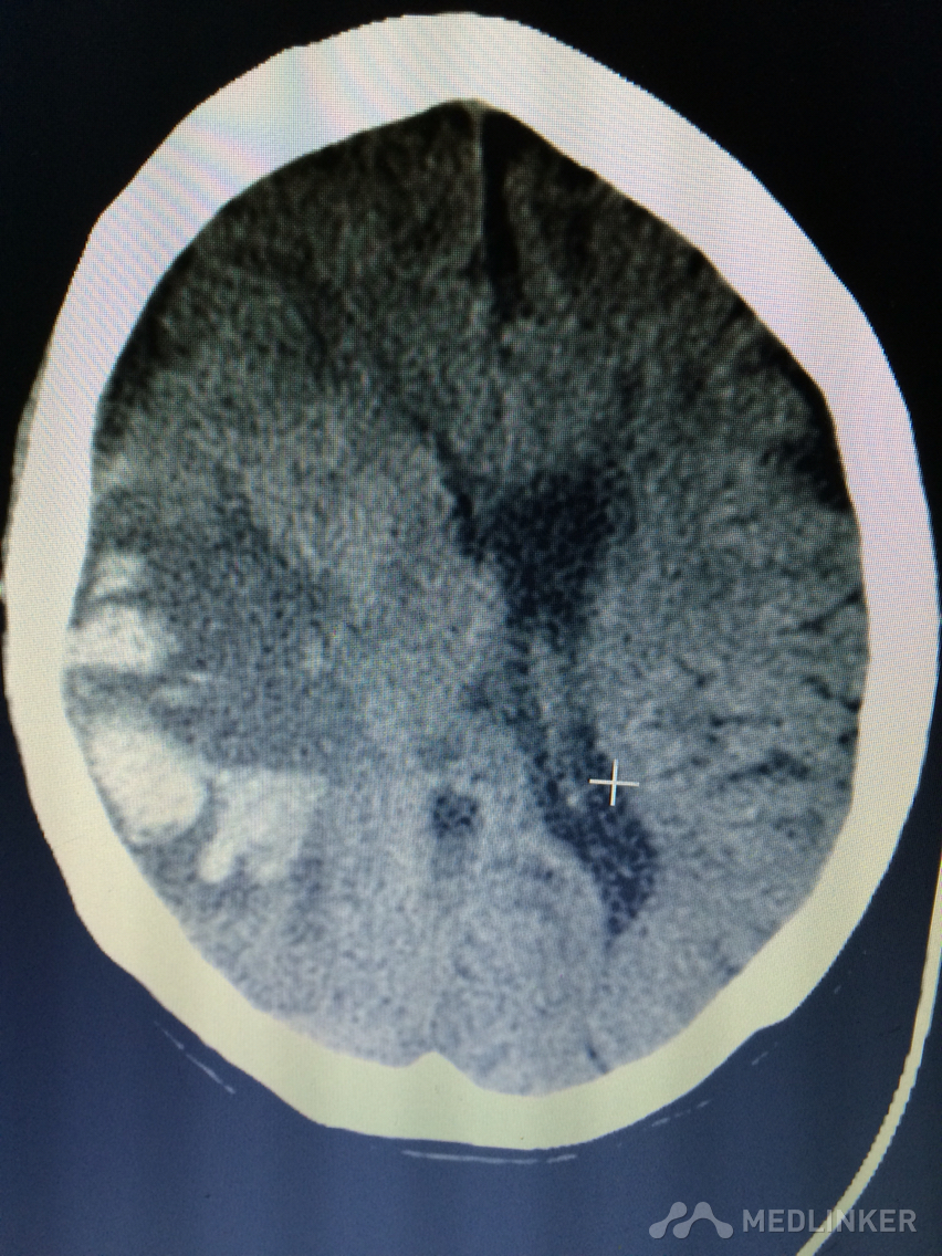
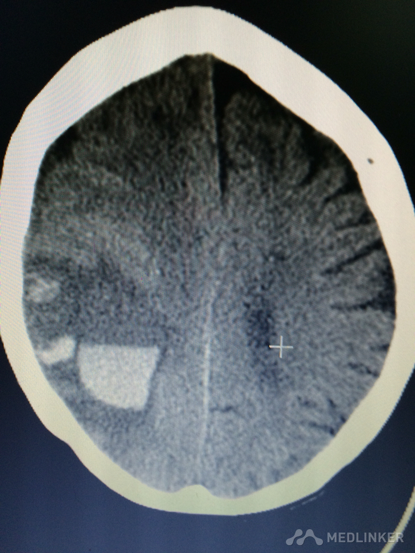
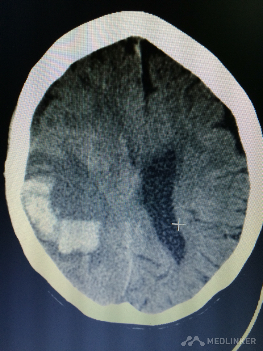
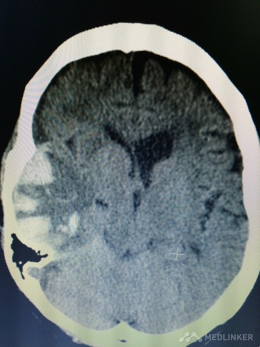
下面的CT考虑?
许医师
江油市第二人民医院
高血压病
高血压
1天前,患者睡醒后出现反应迟钝,认知功能障碍,左侧肢体乏力。 既往无高血压病史,近期无外伤史。
发布于 16-08-01 22:39
打开医联APP阅读全文
医联推荐你看
请教各位,下面胸部CT考虑什么?
下面的CT梗塞灶,请问对应血管?
下面的用药哪里有错误?
共
7
个评论
查看更多评论
发送
0