下载或打开 医联APP 查看完整评论
立即下载
打开APP
打开应用
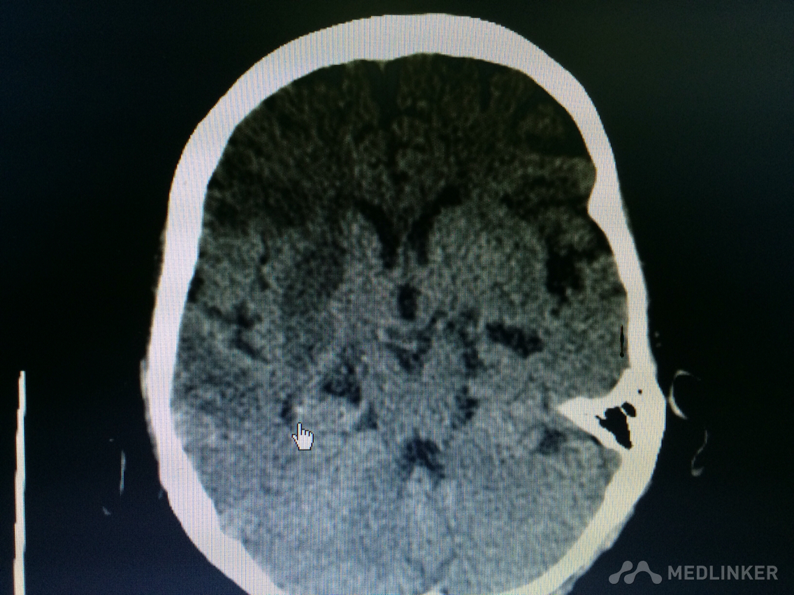
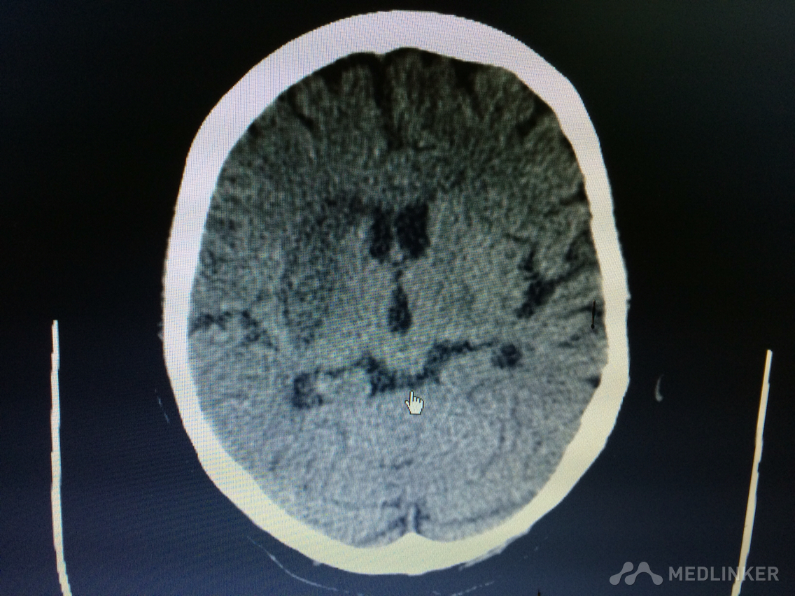
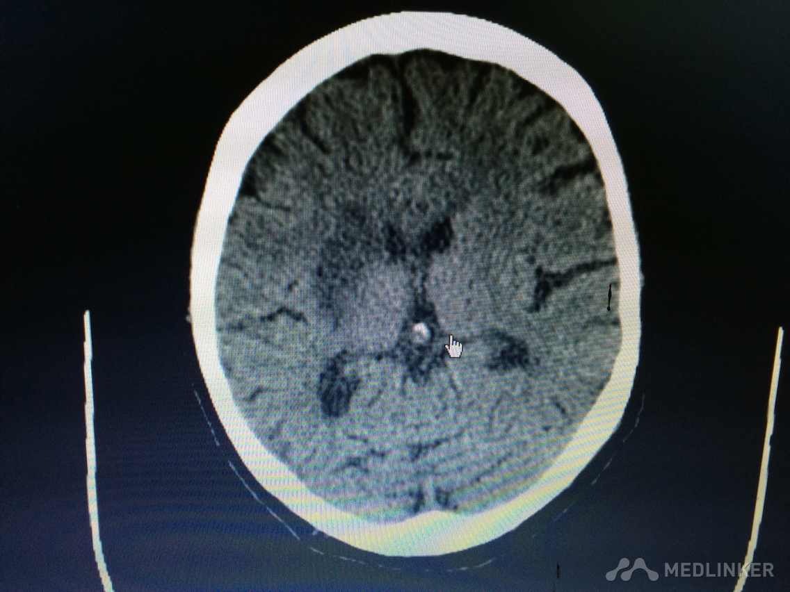
下面的CT梗塞灶,请问对应血管?
许医师
江油市第二人民医院
发布于 16-07-14 19:19
打开医联APP阅读全文
医联推荐你看
请问专家,下面的检查报告,需要治疗用药吗,?
下面的CT考虑?
下面的用药哪里有错误?
共
3
个评论
查看更多评论
发送
0