打开应用

后正中入路脑干出血清除术

王医师   天津市第五中心医院
脑干出血

主诉 病史

病史:患者XX,男性,67岁,主因“被人发现意识丧失3小时余”入院,既往高血压病史。

查体 辅查

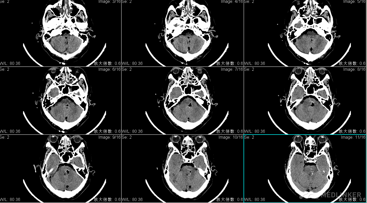
昏迷状态,刺痛不睁眼,无发声,四肢刺痛屈曲 ,GCS5分,双侧瞳孔直径左:右=1:1mm,光反射消失,眼球居中位,额纹对称,颈软,四肢刺痛屈曲,肌张力不高,腱反射(++),生理反射存在,双巴氏征(+)。 头CT显示脑干出血破入第四脑室,出血量约10ml。

诊断 处理

1.脑干出血 2.高血压病3级(极高危)手术入路:左侧俯卧位后正中入路脑干血肿清除术。

随访 讨论

术前头CT

发布于 19-12-19 13:03

0 个评论

暂无评论
发送