打开应用

右颞下入路脑干血肿清除术

王医师   天津市第五中心医院
脑干出血

主诉 病史

病史:男性,34岁,主因“突发左侧肢体无力1.5小时余”入院,既往高血压病史;

查体 辅查

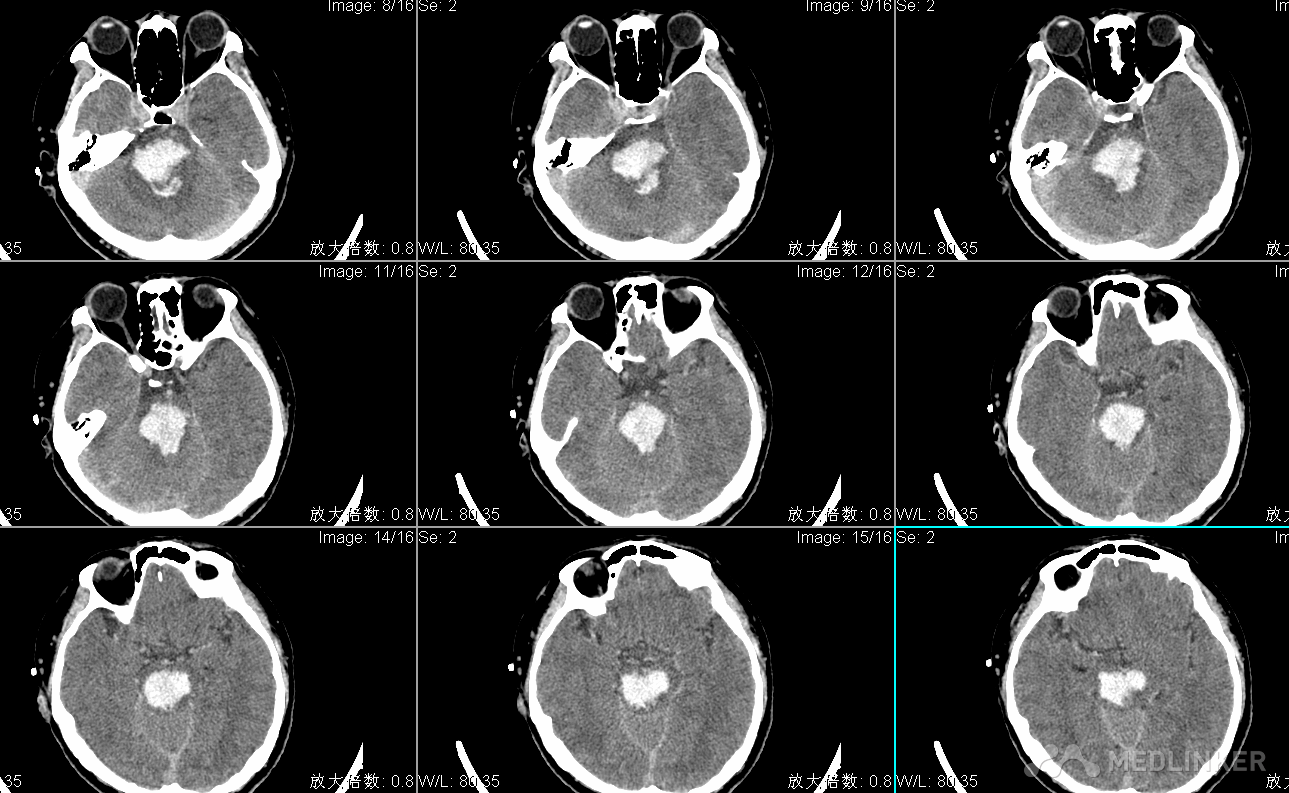
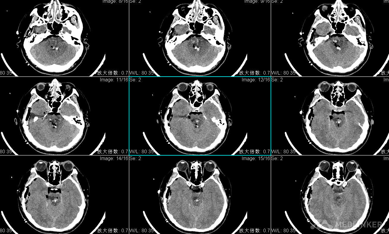
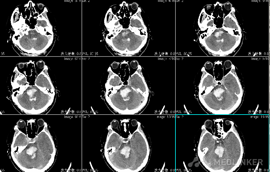
查体:T:36.3℃ P:73次/分R: 20次/分BP:154/107mmHg 嗜睡状态,呼之睁眼,应答切题,四肢可从嘱活动,GCS14分,双侧瞳孔直径左:右=2:2mm,光反射灵敏,可及水平眼震,额纹对称,颈软,左侧肢体4级,右侧肢体肌力5级,肌张力不高,腱反射(++),生理反射存在,双巴氏征(-)。入院头CT显示脑桥出血出血量约2ml。 

诊断 处理

入院诊断为:1.脑干出血 2.高血压病3级(极高危)3.吸入性肺炎。 入院后给予止血、控制血压及对症支持治疗,患者病情进行性加重,昏迷,四肢刺激强直,自主呼吸消失,复查头CT显示脑干出血多田公式计算约20ml,家属强烈要求手术治疗。   

 

体会:1.脑干出血造成损伤的主要原因:a、血肿的直接占位破坏效应;b、继发脑水肿;c、脑积水;d、凝血酶及氧化血红蛋白(血肿分解产物)造成的毒副作用,而手术可以清除大部分血肿,减少血肿的直接占位效应,并直接阻断继发性脑水肿的发生机制,打通脑脊液循环通路,改善患者的症状。2.开颅手术的适应症与禁忌症:适应症:患者处于昏迷状态,GCS8分以下,头颅CT显示脑干出血多田公式计算出血量大于5ml。禁忌症:患者生命体征不稳定、脑疝形成时间较长、凝血障碍等。3.手术入路的选择:脑干出血绝大数位于脑桥,由基底动脉的脑桥支破裂导致,偶见中脑出血,延髓出血极为罕见。中脑出血腹外侧者选择颞下入路,背侧者可选择Poppen入路;脑桥出血腹外侧略靠上者选择颞下入路,靠下者选择乙状窦后入路,背侧破入第四脑室者选择枕下后正中入路;延髓出血背侧者选择枕下后正中入路,腹外侧者选择远外侧入路;4.术中尽量做到不牵拉脑组织或轻柔牵拉非脑干部位的脑组织;吸除血肿的过程中,显微镜直视下用小号吸引器缓慢进行,动作轻柔;整个手术操作在血肿腔内操作,不要越过血肿周围水肿带,血肿腔内的附壁小血块粘连紧密者,不必强行吸除;5.术中止血是难点,对于静脉性出血,采用速记纱棉片压迫止血即可;对于动脉性出血,找准出血动脉,双极电量调低,轻轻电凝止血即可,整个手术过程术者一定要具备扎实的显微操作技巧;6.术后人工硬脑膜严密修补缝合硬脑膜,逐层关颅,不留死腔,严防皮下积液,防止患者术后发热及颅内感染。

发布于 19-12-01 16:19

0 个评论

暂无评论
发送