打开应用

脑干血肿清除术1

王医师   天津市第五中心医院
脑干出血

主诉 病史

病史:患者刑XX,男性,46岁,主因“突发意识丧失1小时余”入院,既往高血压病史;

查体 辅查

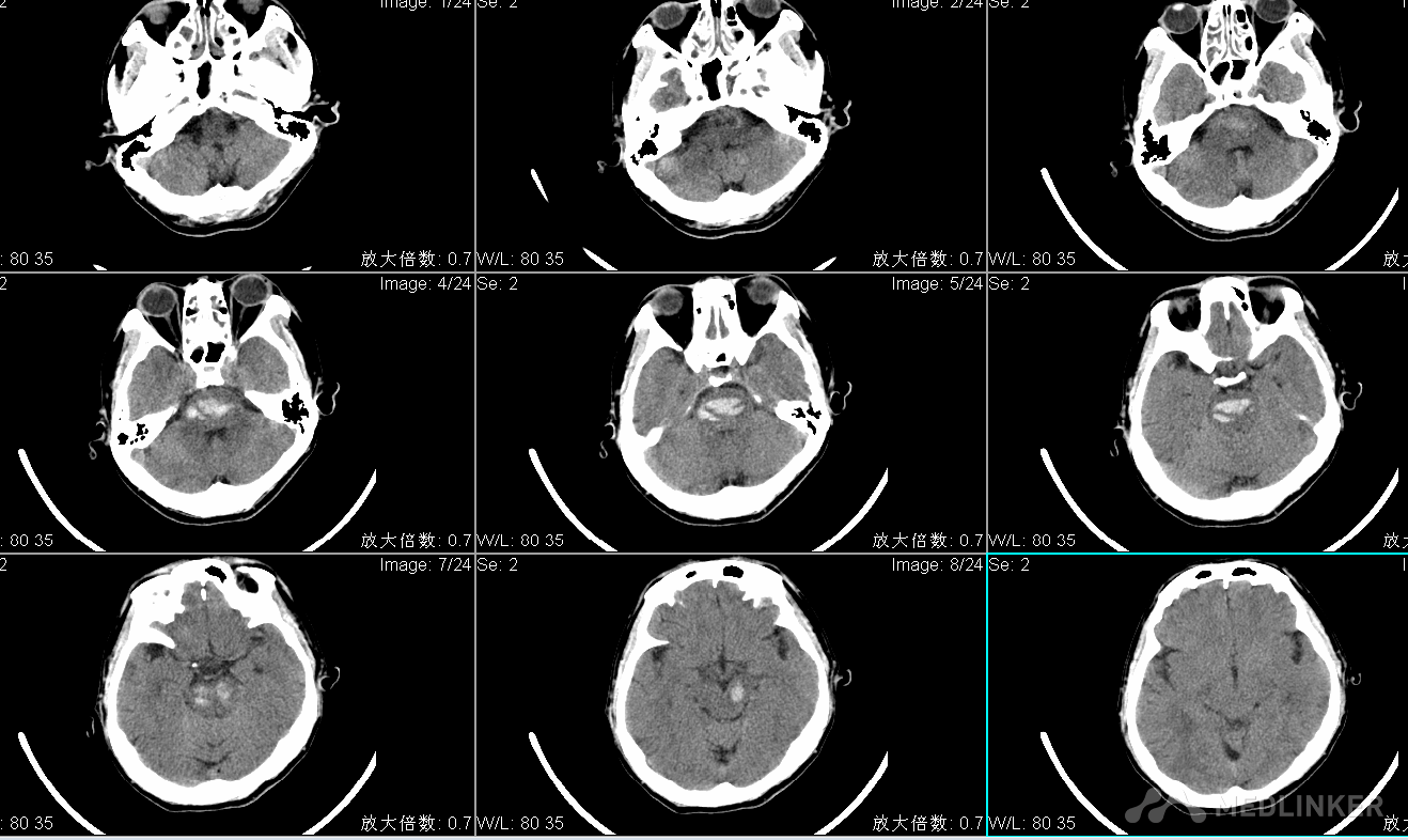
查体:T:36.8℃ P:61次/分R: 20次/分BP:181/101mmHg 昏迷状态,刺痛不睁眼,无发声,刺痛肢体可伸直,GCS4分,双侧瞳孔直径左:右=2:2mm,光反射迟钝,眼球居中位,额纹对称,颈软,肌张力高,腱反射(++),生理反射存在,双巴氏征(-)。头CT显示脑桥出血。

诊断 处理

入院诊断为:1.脑干出血 2.高血压病3级(极高危)3.吸入性肺炎

随访 讨论

手术入路:右颞下入路脑干血肿清除术

术前CT显示桥脑及中桥横贯性出血

头皮切口:下缘至颧弓下0.5公分,上缘至耳缘上三横指

仰卧垫肩头架固定,颧弓位于最高点

牵开头皮及肌肉,显露颧弓根部及中颅窝底

骨窗范围 术后CT显示脑干血肿大部分清除 个人体会: 1.脑干出血造成损伤的主要原因:a、血肿的直接占位破坏效应;b、继发脑水肿;c、脑积水;d、凝血酶及氧化血红蛋白(血肿分解产物)造成的毒副作用,而手术可以清除大部分血肿,减少血肿的直接占位效应,并直接阻断继发性脑水肿的发生机制,打通脑脊液循环通路,改善患者的症状。 2.开颅手术的适应症与禁忌症: 适应症:患者处于昏迷状态,GCS8分以下,头颅CT显示脑干出血多田公式计算出血量大于5ml。 禁忌症:患者生命体征不稳定、脑疝形成时间较长、凝血障碍等。 3.手术入路的选择:脑干出血绝大数位于脑桥,由基底动脉的脑桥支破裂导致,偶见中脑出血,延髓出血极为罕见。中脑出血腹外侧者选择颞下入路,背侧者可选择Poppen入路;脑桥出血腹外侧略靠上者选择颞下入路,靠下者选择乙状窦后入路,背侧破入第四脑室者选择枕下后正中入路;延髓出血背侧者选择枕下后正中入路,腹外侧者选择远外侧入路; 4.术中尽量做到不牵拉脑组织或轻柔牵拉非脑干部位的脑组织;吸除血肿的过程中,显微镜直视下用小号吸引器缓慢进行,动作轻柔;整个手术操作在血肿腔内操作,不要越过血肿周围水肿带,血肿腔内的附壁小血块粘连紧密者,不必强行吸除; 5.术中止血是难点,对于静脉性出血,采用速记纱棉片压迫止血即可;对于动脉性出血,找准出血动脉,双极电量调低,轻轻电凝止血即可,整个手术过程术者一定要具备扎实的显微操作技巧; 6.术后人工硬脑膜严密修补缝合硬脑膜,逐层关颅,不留死腔,严防皮下积液,防止患者术后发热及颅内感染。

发布于 19-11-22 11:50

2 个评论

发送