打开应用

神经内镜辅助脑出血清除术

王医师   天津市第五中心医院
基底节出血 左侧基底节出血 右侧基底节出血

主诉 病史

患者陈XX,男性,59岁,主因“突发右侧肢体无力伴言语含糊1小时余”入院;

查体 辅查

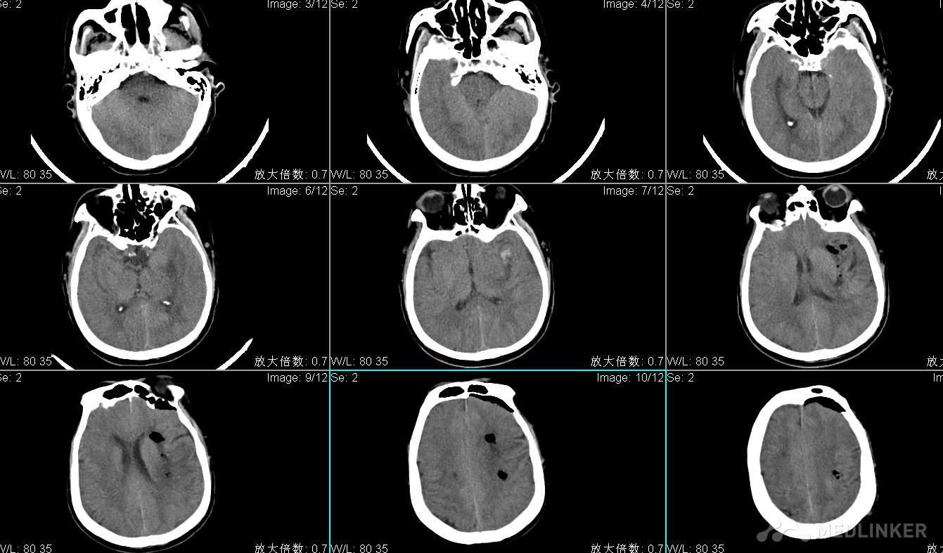
查体:T:36℃ P:83次/分R:23次/分BP:181/118mmHg,昏睡,刺痛可睁眼,可发音,四肢刺痛屈曲,双侧瞳孔直径左:右=3:3mm,光反射灵敏,右侧鼻唇沟变浅,四肢肌力检查不合作,肌张力不高,腱反射(++),生理反射存在,右侧巴氏征(+); 头CT检查显示左侧基底节区脑出血多田公式计算出血量约80ml;

诊断 处理

脑出血 高血压病 吸入性肺炎

随访 讨论

手术入路:神经内镜辅助经左额脑出血清除术。

头CT显示左侧基底节区脑出血约80ml

术前CTA排除颅内动脉瘤

左额发迹内纵行切口约4cm

切开头皮保留骨膜 游离骨膜,以备修补硬脑膜

清除完血肿,严密缝合硬脑膜

还纳骨瓣

头皮切口

术后CT显示左侧基底节区脑出血清除良好。 高清手术视频 总结: 1.该手术实施前首先排除患者颅内动脉瘤破裂导致的颅内出血,若血肿位于外侧裂附近伴蛛网膜下腔出血的患者,先行头CTA检查,以排除颅内动脉瘤,若为动脉瘤性脑出血采取开颅颅内动脉瘤夹闭术; 2.神经内镜辅助脑出血清除术适合脑疝前期及早期的患者,若患者脑疝形成时间较长,以及弥漫性脑肿胀的患者,因神经内镜微创手术起不到减压的作用,我们应采取开颅血肿清除术+去骨瓣减压术; 3.神经内镜辅助脑出血清除术的难点是止血,因为该手术微创,操作空间比较小,因此我们采用长头双极或电凝吸引器止血的方法; 4.神经内镜辅助脑出血清除术的要点是定位与路径选择,术前要规划好; 5.由于自发性脑出血与颅脑外伤不同,一般情况下血肿清除后,脑组织塌陷明显,不需要去骨瓣减压,若术中出现弥漫性脑肿胀,额部纵行切口后延行额颞开颅去骨瓣减压术; 6.术后硬脑膜严密缝合,若有缺损,可采用预留的骨膜修补硬脑膜。 7.神经内镜辅助脑出血清除术一般手术时长约1.5小时,而常规开颅手术时间约3-4小时,神经内镜手术时间明显缩短,手术创伤小,恢复快,颅内感染风险大大降低,术后短时间可转普通病房,住院费用降低,且避免二次颅骨修补术,值得大力推广。

发布于 19-11-22 11:39

1 个评论

发送