打开应用

神经内镜辅助脑出血清除术

王医师   天津市第五中心医院
脑出血 肢体无力 出血

主诉 病史

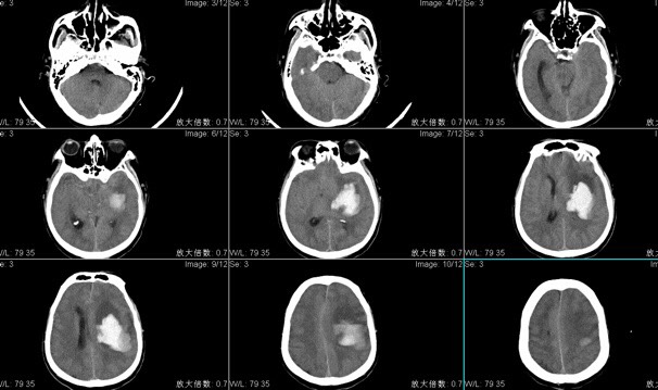
患者陈XX,男性,59岁,主因“突发右侧肢体无力伴言语含糊1小时余”入院;头CT检查显示左侧基底节区脑出血多田公式计算出血量约80ml;手术入路:神经内镜辅助经左额脑出血清除术。

查体 辅查

查体:T:36℃ P:83次/分R:23次/分BP:181/118mmHg,昏睡,刺痛可睁眼,可发音,四肢刺痛屈曲,双侧瞳孔直径左:右=3:3mm,光反射灵敏,右侧鼻唇沟变浅,四肢肌力检查不合作,肌张力不高,腱反射(++),生理反射存在,右侧巴氏征(+);

诊断 处理

脑出血,手术入路:神经内镜辅助经左额脑出血清除术。

随访 讨论

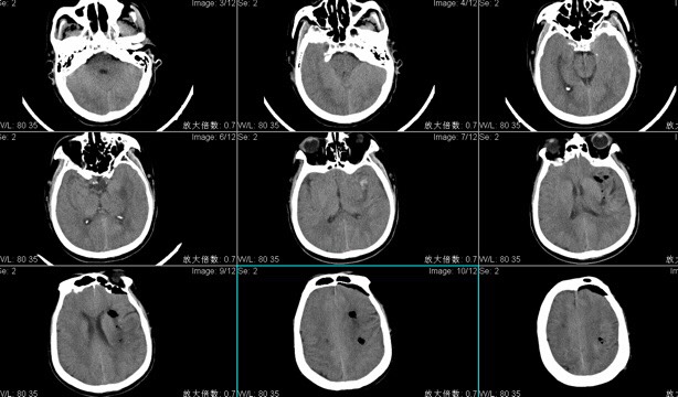
术后复查头CT显示血肿清除良好,神经内镜辅助脑出血手术时间短,损伤性小恢复快

发布于 19-11-21 12:35

1 个评论

发送