打开应用

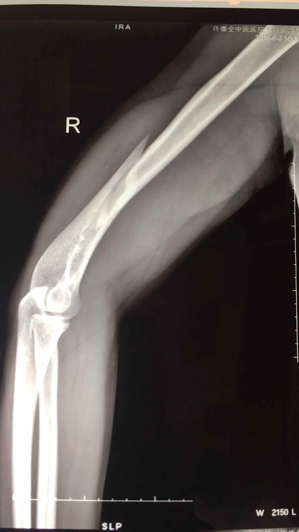
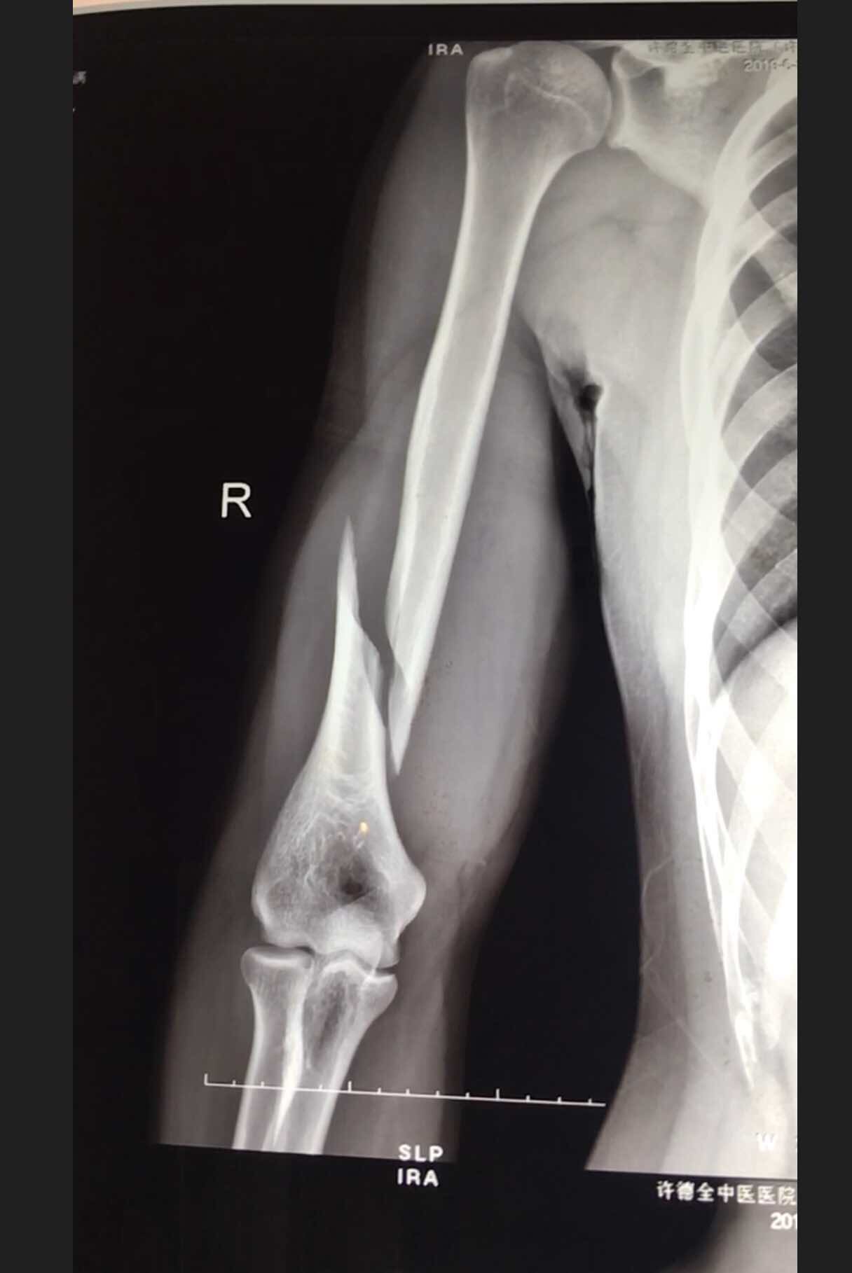
肱骨远端骨折(切复双钛板内固定)

高医师   许德全中医医院
骨折

主诉 病史

摔伤后右肘部肿胀,畸形,活动受限2小时入院。既往身体健康,无特殊不良嗜好。从事健身教练工作数年。

查体 辅查

生命体征平稳,心肺复未见异常。右上臂肿胀明显,畸形,局部皮色发红,皮温高,压痛及纵叩痛阳性,可及骨檫音及骨檫感,异常活动,末梢血运感觉正常。

诊断 处理

诊断肱骨远端骨折在臂丛麻醉下行切复内固定术,术后抗炎,消肿等处理。

发布于 19-06-09 15:05

4 个评论

发送