打开应用

一眼就认出你:是支原体肺炎而不是肺结核!!

蔡医师   暨南大学附属第一医院
肺炎支原体性肺炎

主诉 病史

 主诉:咳嗽、咳痰2周,发热1周。   现病史:患者于2周前无明显诱因下出现阵发性咳嗽、咳痰,咳少量白粘稠痰,无发热、畏寒,一周前因受凉后出现发热,最高体温为38.9℃,咳嗽、咳痰较前增多,咳黄色黏痰,伴鼻塞、流涕,伴明显咽痛,伴夜间出汗,于中山六院就诊,服用“头孢类”抗生素(10/13-10/17)、“奥司他韦”(10/13-10/15)及“可乐必妥”(10/17)治疗后体温下降,但每日约19点体温开始升高,至次日晨起时自动消退,发热时体温波动于37-37.9℃,伴出汗,伴咳嗽、咳痰,性质同前,伴胸闷,无头晕、头痛,无心悸、气促,无全身肌肉酸痛,无皮疹,无尿频、尿急等,遂来我院就诊,门诊以“社区获得性肺炎”收入我科,起病以来,精神可,睡眠一般,胃纳差,二便正常,近期体重无明显下降。   既往史:5月份在外..院诊断为“支气管炎”,10月前有结核病人接触史,否认高血压、冠心病、糖尿病病史。否认肝炎、结核等传染病史。否认手术及外伤史。无输血史。否认药物、食物过敏史。预防接种具体不详。   个人史:原籍广东。居住地为非传染病及地方病流行区。未到过疫区,无疫水接触史。有吸烟史4年,1包/天,偶有饮酒史。无不良卫生习惯。   婚育史:未婚未育。    家族史:否认有家族性遗传病。 体 格 检 查 T:37℃ P:85次/分 R:20次/分 Bp:135/84mmHg    发育正常,营养中等,自动体位,神志清楚。全身皮肤、粘膜无黄染,无皮下出血点及瘀斑。全身未触及浅表淋巴结肿大。头颅五官无畸形。巩膜无黄染,双侧瞳孔等大等圆,直径约3.0mm,对光反射灵敏。鼻腔及外耳道无异常分泌物,副鼻窦无压痛。双侧乳突无压痛。唇无发绀,咽红充血,扁桃体无充血肿大。颈软,甲状腺不大,气管居中,颈静脉无怒张,肝颈回流征(-)。胸廓对称无畸形,胸壁无压痛,未见胸壁静脉显露和曲张,双侧呼吸运动对称,双侧触觉语颤对称,无胸膜摩擦感,双肺叩诊音清,R20次/分,双肺呼吸音清,无呼吸音增强和减弱,右上肺可闻及湿性啰音,左肺未闻及明显干湿性啰音,未闻及胸膜摩擦音。心前区无隆起,无抬举样心尖搏动,各瓣膜区未扪及震颤,心界无扩大,HR:85bpm,律齐整,无心音分裂,无心音增强和减弱,各瓣膜听诊区未闻病理性杂音,未闻及心包摩擦音。腹平坦,未见局部膨隆,未见腹壁表浅静脉无曲张,未见胃型,肠型及蠕动波;全腹软,全腹无压痛、反跳痛,全腹未触及包块,肝脾肋下未触及,麦氏点压痛(-),Murphy征(-),左右两侧上、中输尿管压痛点无压痛,左右肋脊点、肋腰点压痛(-);腹部叩诊呈鼓音,移动性浊音(-),肝区、肾区无叩击痛。肠鸣音3次/分。肛门及外生殖器未查。脊柱四肢无畸形,活动正常,无关节红肿、强直及杵状指,双下肢无水肿。四肢肌力5级,肌张力正常。生理反射正常存在,巴氏征未引出,脑膜刺激征(-)。

查体 辅查

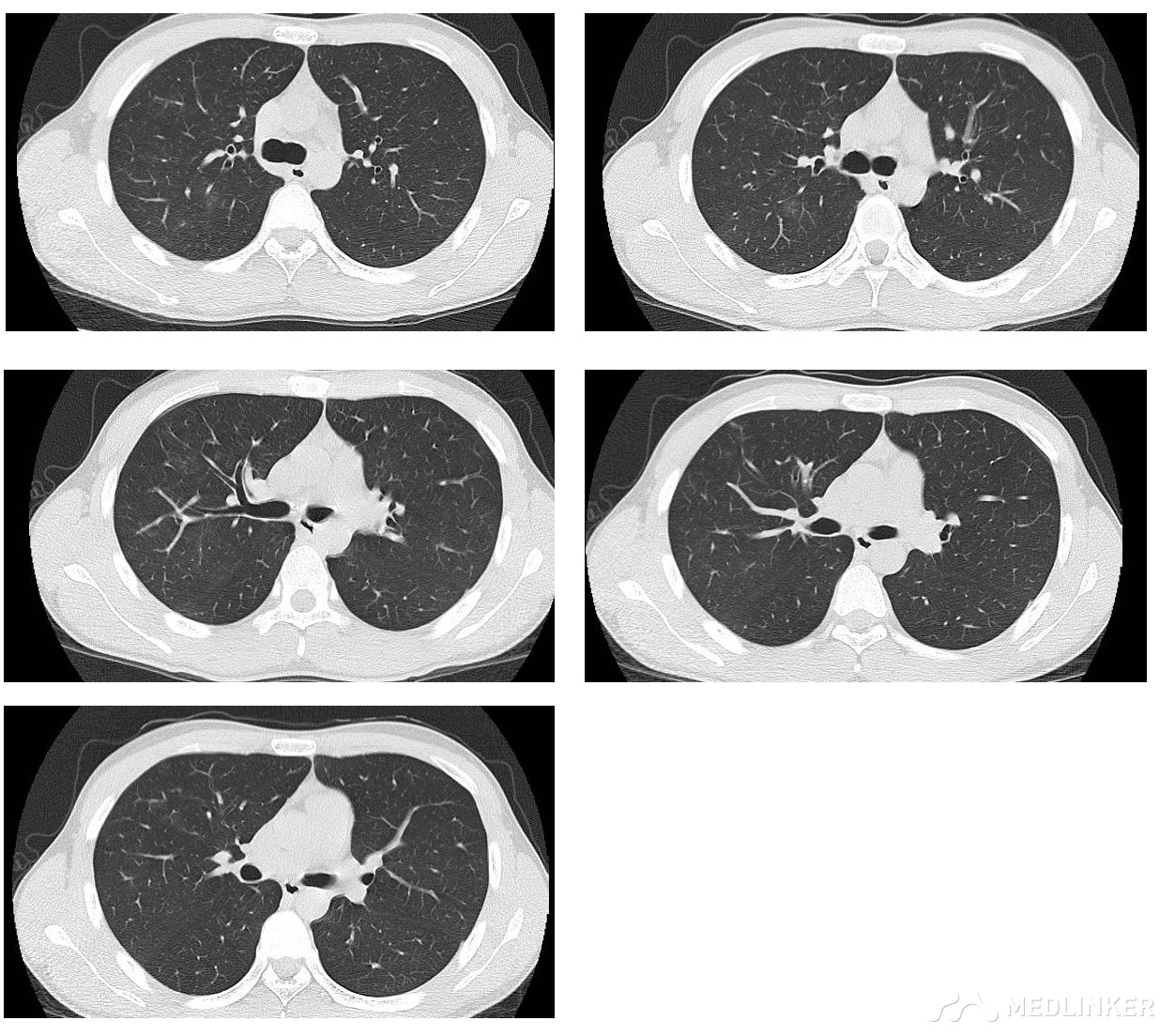
入院后完善相关检查:血常规五分类+CRP : WBC及NE 正常,单核细胞绝对值:0.82X10^9/L、单核细胞百分比:10.12%;生化全套:丙氨酸氨基转换酶(ALT):7U/L、门冬氨酸氨基转换酶(AST):13U/L、高密度脂蛋白C(HDL_c):0.82mmol/L、前白蛋白:196.7mg /L、总蛋白(TP):62.2g/L、转铁蛋白(TRF):1.840g /L、尿酸(URIC):513.3umol/L;降钙素原检查、DIC检查,ESR检查未见异常。肺炎组套示:支原体lgM阳性。食入物及吸入物变应原筛查:总IgE4级,余未见特殊。入院时胸部CT提示:右上肺斑片渗出影及类结节影,首先考虑炎症,需排除结核。

诊断 处理

入院后结合病史,考虑支原体感染可能性大。依据如下:青年男性,双阶段病程,既往无过敏性鼻炎及哮喘病史,此次发病表现为气道高反应性,伴有胸闷,查体无异常,查血支原体lgM阳性,胸部CT虽然发生 在右上肺上叶尖后段,病灶呈多态性,有渗出,有类增殖病灶,但前段也有发生不支持。根据2016年支原体肺炎临床倾向性判断指南:①年龄<60岁 ②无或轻微基础疾病 ③持续或顽固性咳嗽 ④肺部体征不明显 ⑤无痰或通过快速诊断试验不能识别病原 ⑥外周血白细胞<10×109/L。而影像学可表现为:上肺野、双肺病灶,小叶中心性结节、树芽征、磨玻璃影以及支气管壁增厚,病情进展可呈实变 。据此,我们判断为支原体肺炎,而予拜复乐0.4g ivgtt qd 治疗10天后复查胸部CT,如下:

随访 讨论

附CAP支原体肺炎倾向性诊断的诊治思路

发布于 18-10-29 21:53

0 个评论

暂无评论
发送