打开应用

支原体肺炎?肺结核?

刘医师   凌源市中心医院

主诉 病史

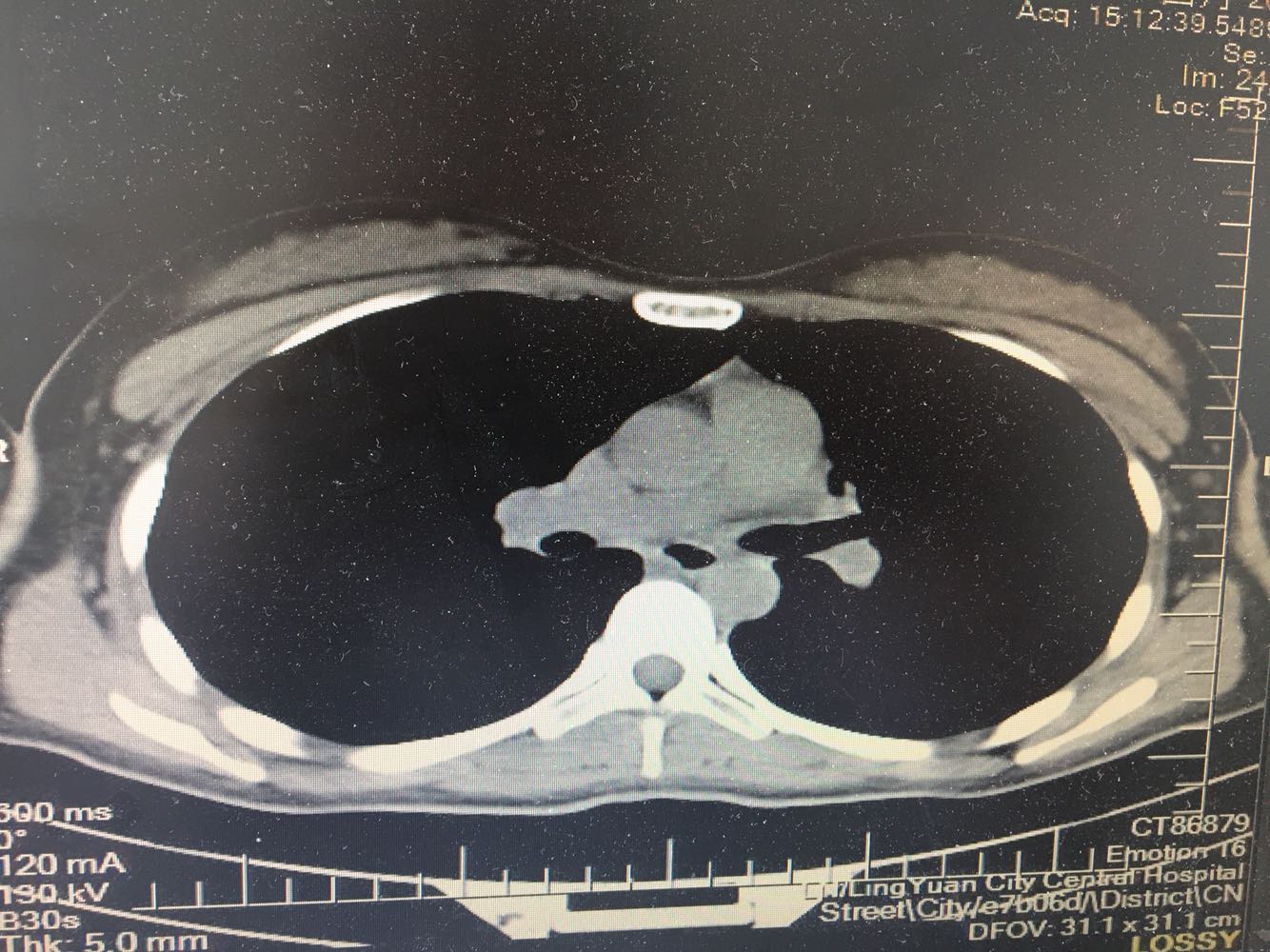
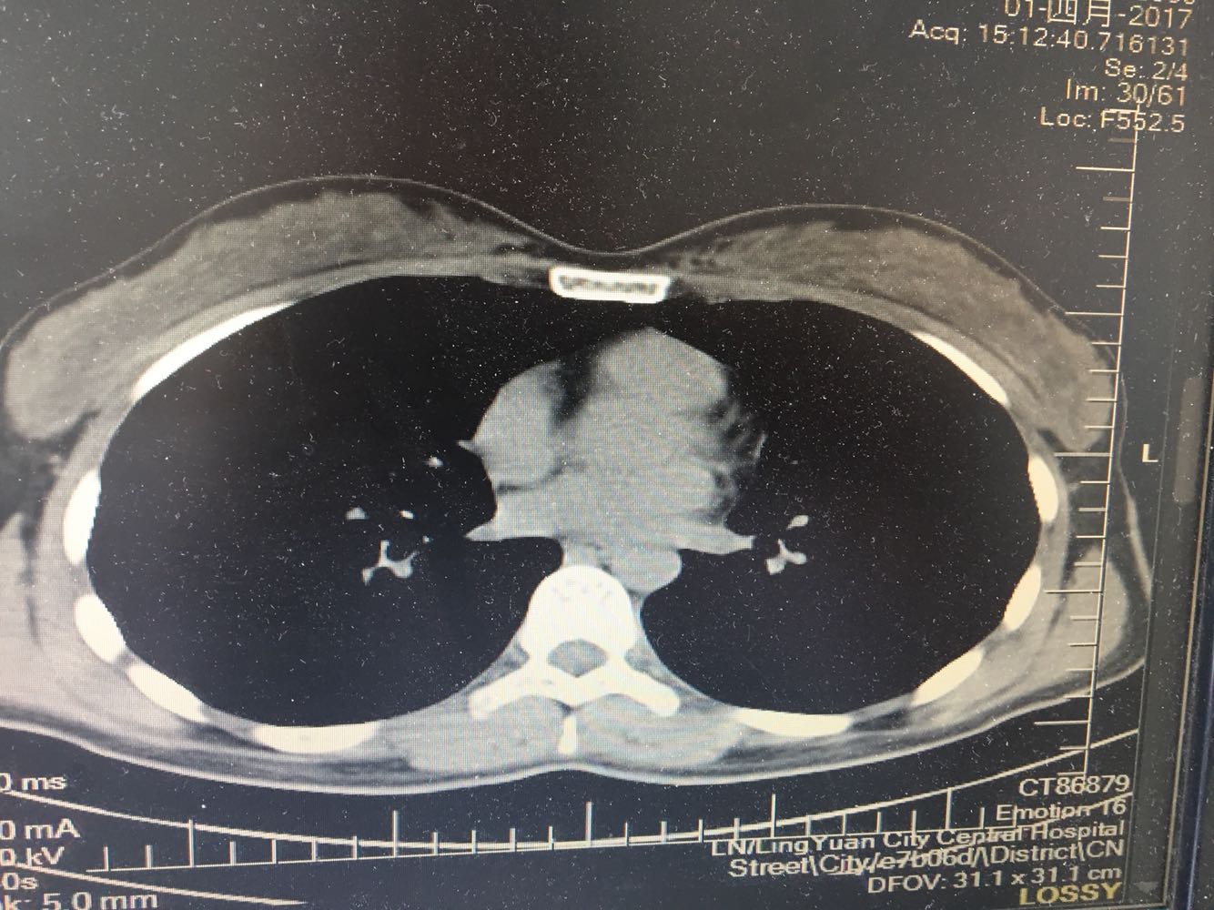
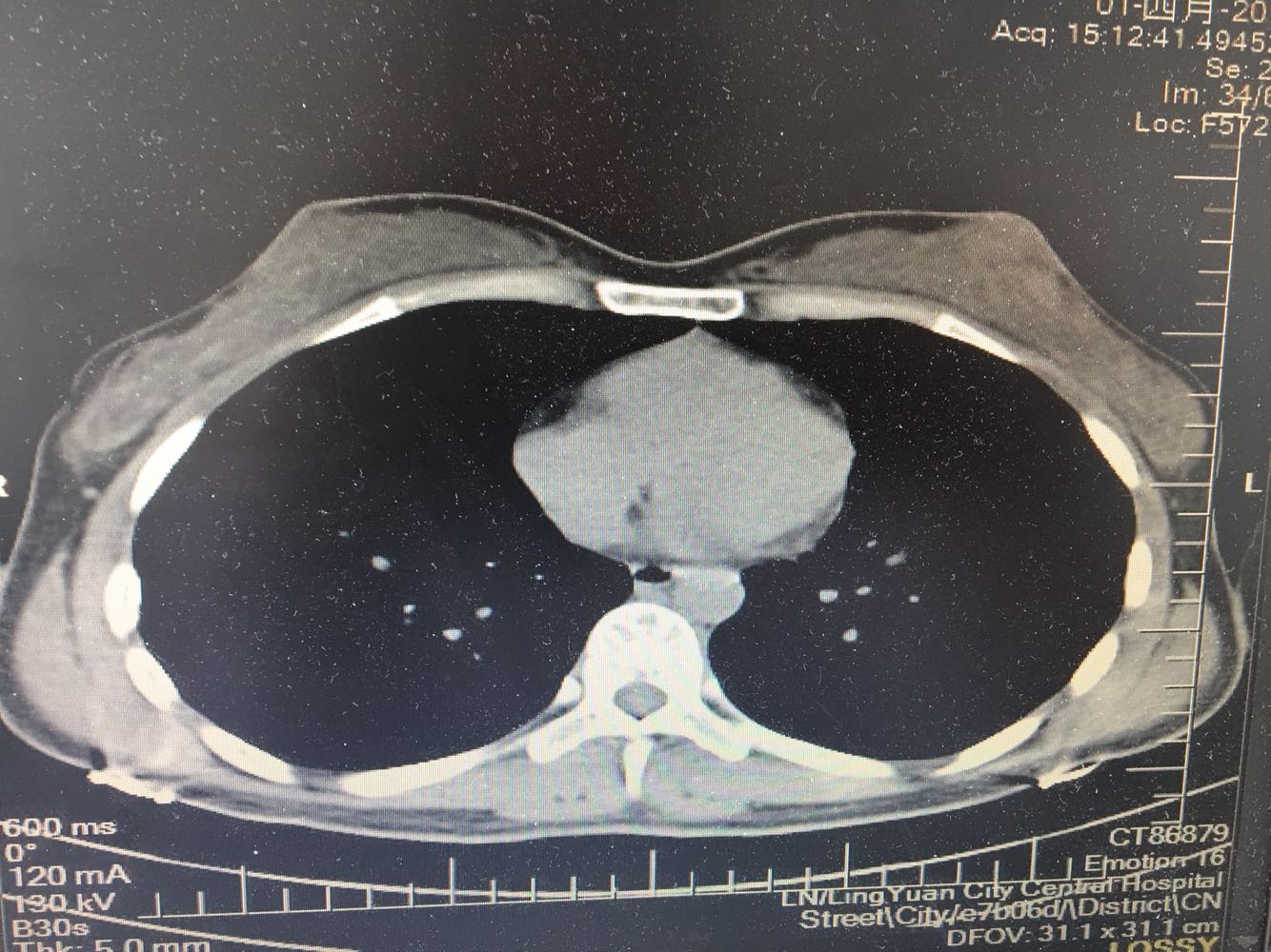
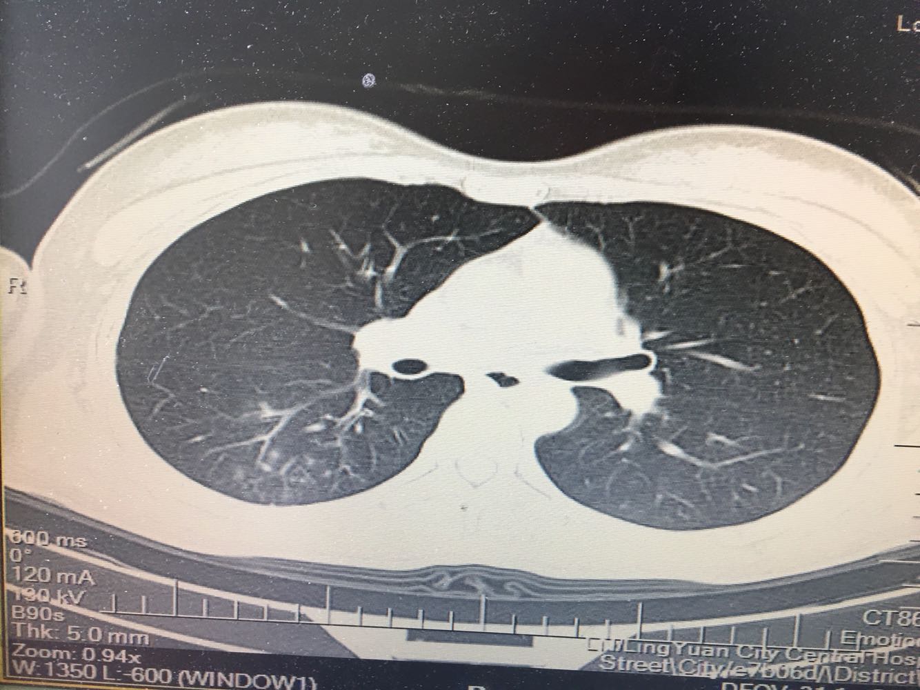
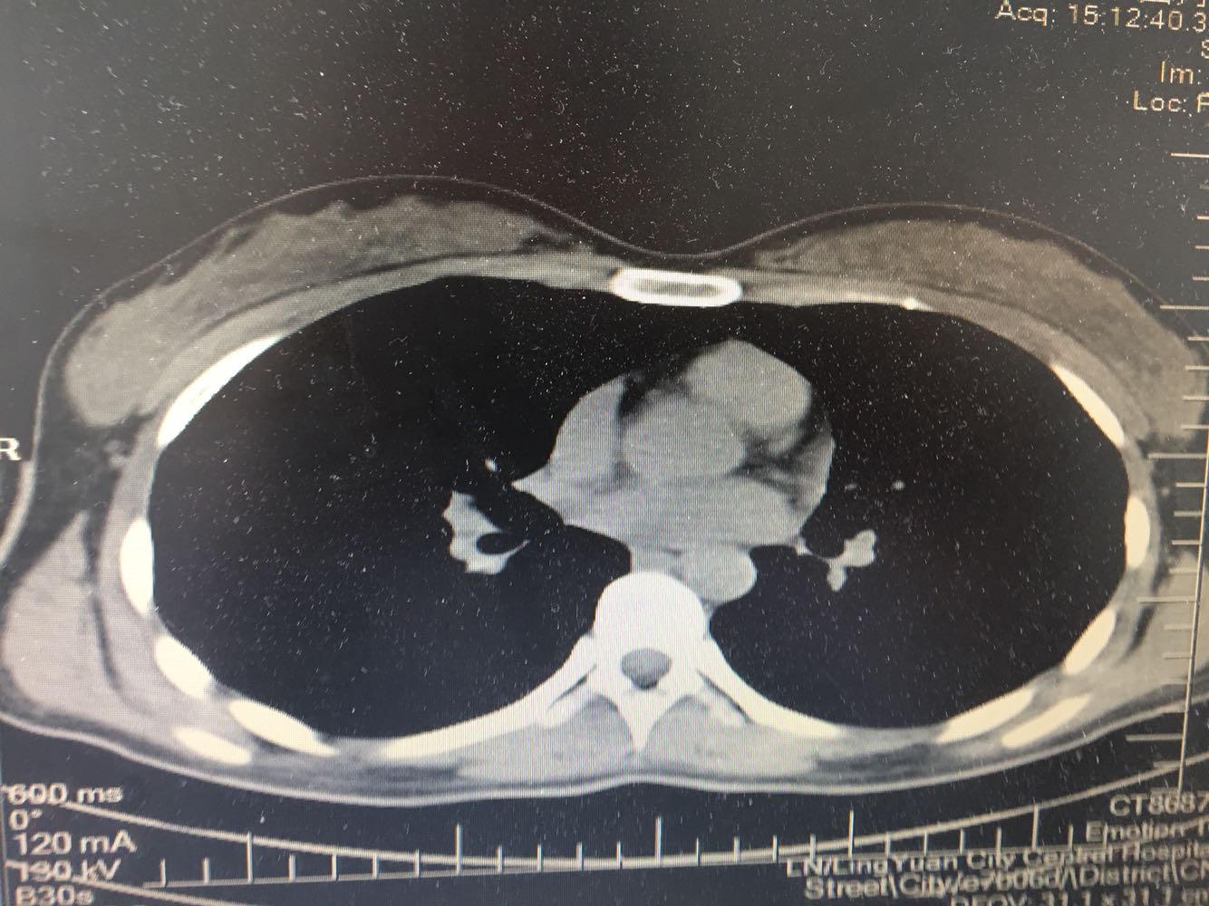
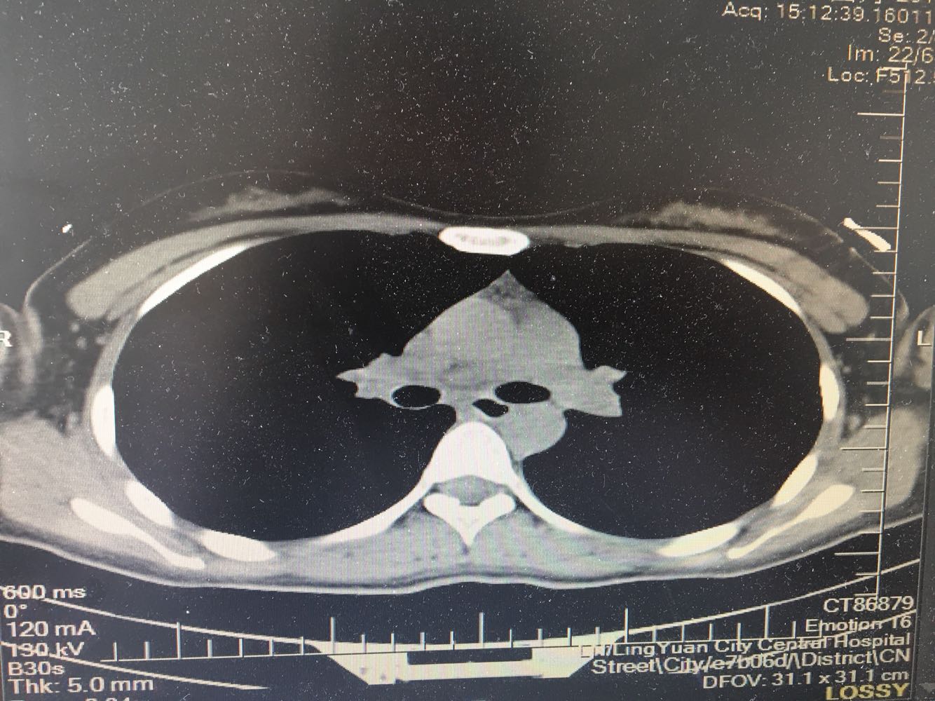
女,26岁,咳嗽1周,咳痰不畅,咽喉痒,口服阿莫西林无好转,昨日发热,体温38.5摄氏度,于门诊查肺CT后以肺炎收入院,病来无盗汗,无咳血,无消瘦及乏力,无头痛,无肢体酸痛,饮食睡眠可,二便正常

查体 辅查

神清言明,咽部无充血,扁桃体不大,双肺呼吸音清,无罗音,服软无压痛。

诊断 处理

支原体肺炎?肺结核?

随访 讨论

支原体抗体1:160,结核抗体弱阳性。支原体肺炎个别可见上叶病变,该患无结核中毒症状,考虑支原体肺炎可能性大,但肺尖为结核好发部位,需要抗炎治疗后复查观察疗效。

发布于 17-04-05 11:42

14 个评论

发送