打开应用

左侧输尿管再植术后狭窄

刘健医师   成都市第二人民医院
冠心病 输尿管狭窄 肾结石

主诉 病史

患者男性,50岁。主诉:发现左输尿管狭窄20+年,输尿管支架置入7+月。现病史:入院前20+年,患者体检彩超发现“右肾结石伴右侧输尿管下段狭窄”,于外院行“输尿管再植术”,术后恢复良好。11年前检查发现右肾积水,于我院行膀胱镜检查,示再植处狭窄,行金钱草口服治疗。9月前患者无明显诱因出现咖啡色血尿,伴右侧腰部隐痛,再次于我院就诊,建议手术治疗。7月前于我院行经尿道输尿管镜右侧输尿管开口狭窄切开术+右侧输尿管狭窄球囊扩张术+钬激光碎石术+输尿管支架管置入术,手术顺利,患者术后恢复良好。5月前,患者出现轻度尿急、血尿,无发热、腰痛等不适,未予以特殊处理。2月前尿急症状加重。患者于我院膀胱镜下拟拔除右侧输尿管支架,但拔除不成功。经全科讨论后,为进一步诊治,患者今日入住我科。  既往史:患者发现“血压升高”10+年,自诉血压最高至180/100mmHg,近期服用福辛普利钠片10mg qd,血压控制在130/85mmHg左右。患者5+年因“冠心病”于外院行“冠状动脉支架置入术”(具体不详),术后长期服用氯吡格雷 225mg qd,辛伐他汀 20mg qd,近期病情控制可。

查体 辅查

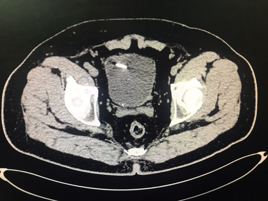
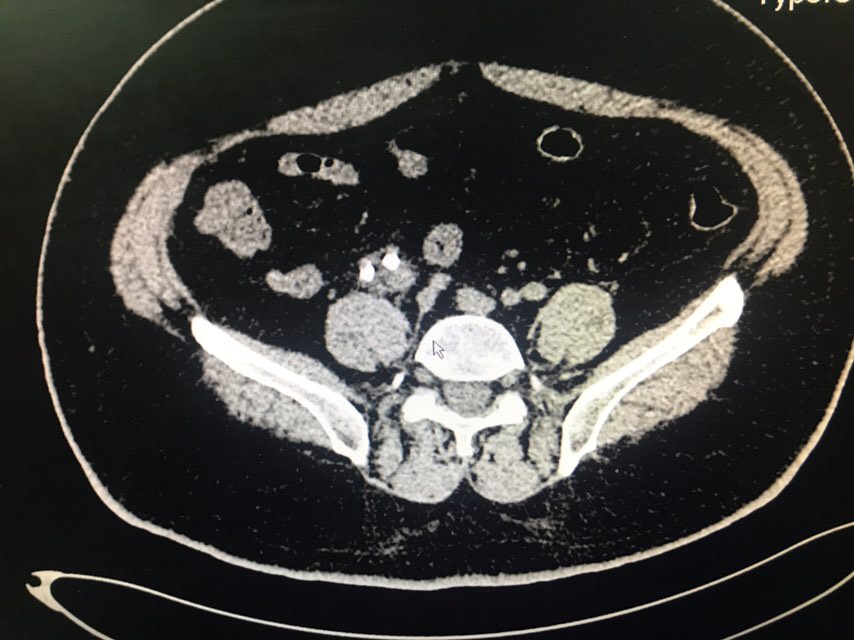
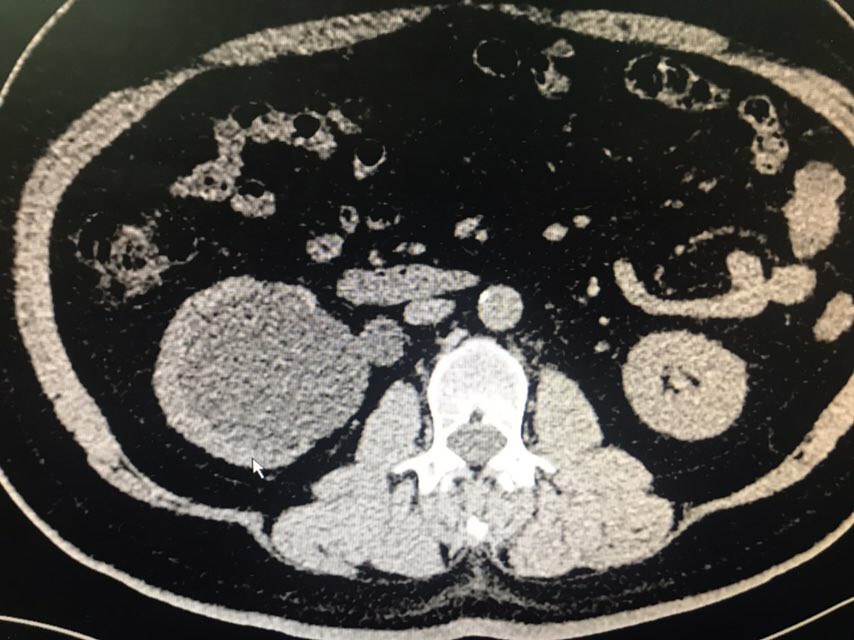
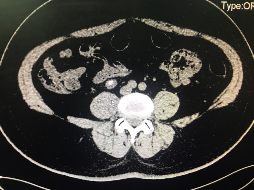
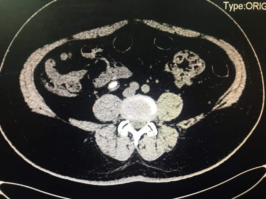
查体:无特殊。辅助检查:全腹CT(我院2018-8-6):右肾盂、肾盏及右输尿管上段明显扩张、积水;右侧输尿管置管。左肾盏区点状结石;双肾囊肿可能。膀胱充盈,壁稍增厚、毛糙,合并炎症可能,胆囊结石。脂肪肝;肝右叶小钙化灶。

诊断 处理

诊断:1、右侧输尿管狭窄;2、高血压3级 很高危;3、冠心病:冠状动脉支架置入术后。治疗:右侧输尿管探查+右侧输尿管支架管取出。

随访 讨论

从患者CT片子上看,患者右侧输尿管下段狭窄,输尿管支架管返折,因膀胱镜下未能成功取出,故行右侧输尿管探查术。手术顺利,术后给予曲克芦丁脑蛋白水解物注射液5ml治疗,患者术后恢复良好。

发布于 18-11-05 11:30

1 个评论

发送