打开应用

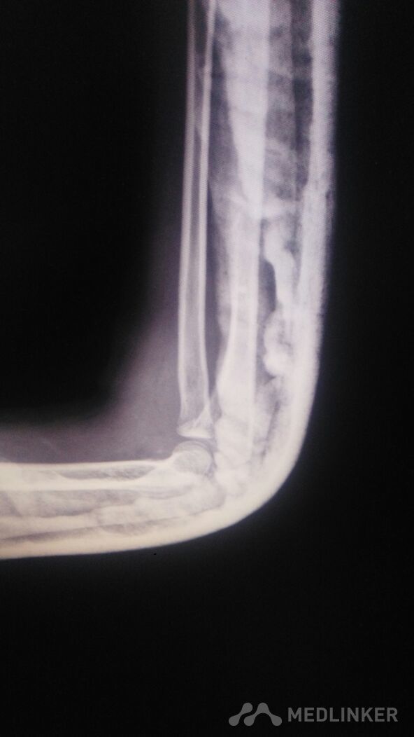
外伤后儿童的肘关节脱位。

杨医师   武功县人民医院
关节脱位 肘关节脱位

主诉 病史

左肘部肿痛畸形。以尺骨鹰嘴处为著,压痛阳性,叩痛阳性。左肘部活动受限。

查体 辅查

骑自行车时摔倒致左肘部肿痛1小时。左肘部肿痛,畸形。活动受限。左手麻木。

诊断 处理

左肘部脱位,后脱位,可以保守治疗。

随访 讨论

肘关节肿胀明显。畸形明显。虽然脱位,韧带也有损伤。恢复有一定的时间。

发布于 18-09-24 16:01

0 个评论

暂无评论
发送