打开应用

左上前牙牙折

陈医师   空军军医大学口腔医学院
牙折

主诉 病史

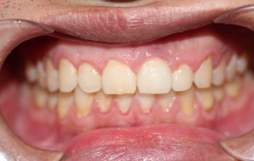
患者,女,33岁,左上前牙折断,要求种植修复。 既往史:患者平素体健。主诉无心脏病、糖尿病、高血压等全身系统性疾病;自诉无肝炎、结核等传染性疾病;自诉无青霉素类、头孢类药物过敏史。自诉无抽烟、嗜酒等不良习惯。

查体 辅查

口腔检查:全口咬合关系基本正常。21牙松动III度,叩诊(+)。全口牙龈状况良好,为薄龈生物型,牙龈乳头形态存留,充盈良好;缺牙区邻牙未见明显倾斜,缺牙颊舌向宽度约5mm。 术前影像学检查 CBCT影响学显示21根折,矢状截面显示冠方向唇侧轻微移位,根尖下方充分的健康骨质。

诊断 处理

诊断:21牙根折  治疗计划:21牙拔除后行即刻种植植入术+GBR  处理:术区行利多卡因+布比卡因阻滞麻醉,碧兰麻于21牙区行浸润麻醉。常规消毒铺单,待麻药显效后,牙龈分离器分离11周围牙龈。 22及11远中设计唇侧附加切口,显露术野,可见21唇侧骨壁有缺损穿孔。以刮匙刮除局部肉芽组织后,生理盐水冲洗冷却下1.4mm直径球钻于腭侧骨壁定位,先锋钻确定种植体植入方向。扩孔钻逐级扩大种植窝洞至13mm深,收集钻头内残留的自体骨备用。贴紧腭侧骨壁植入种植体,悬赏覆盖螺丝,种植体唇侧可见骨缺损区。收集术区血液,将自体血与骨替代材料混合覆盖于骨缺损区,修剪生物屏障膜至合适的大小和形状,将屏障膜覆盖于骨替代材料上,用自体血液湿润屏障膜至良好贴附状态,无张力关闭牙槽嵴顶切口以及附加切口。常规止血,术毕。

随访 讨论

6个月后进行种植二期手术,更换愈合基台。2周后安置暂时冠。暂时冠安置3个月后更换修复基台,戴入最终固定修复体,牙龈乳头存留完整。

发布于 18-08-17 18:53

1 个评论

发送