打开应用

神经鞘瘤1例

姚医师   南方医科大学珠江医院
神经鞘瘤

主诉 病史

主诉:〔耳鸣、转颈疼痛1月余) 病史:患者于1月前无明显诱因突发,耳鸣、转颈疼痛,无头痛、头晕、恶心、呕吐、行走不稳、肢 体无力、肢体麻木、肢体抽搐、口角抽搐、意识不清、听力下降、视物模糊、视物重影,于2018-07-28至美 年大体检中心行头部MR示右侧桥小脑角区占位,于2018-08-13我院门诊行头部掀工示:右侧桥小脑角区肿 物,多考虑听神经瘤可能;右侧桥小脑角区继发性蛛网膜囊肿,与表皮样囊肿鉴别,右侧小脑半球萎缩;双 侧额叶少许腔隙灶;双侧下鼻甲肥大,翼中隔偏曲。今患者为求进一步诊治而来我院,门诊拟“右侧桥小脑 角区占位”收入院。起病以来,患者精神状态一般,体力情况一般,食欲食量一般,睡眠情况一般,体重无 明显变化,大便正常,小便正常。

查体 辅查

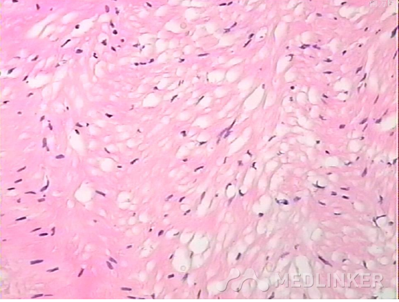
MR:右侧桥小脑角神经鞘瘤。

诊断 处理

(右侧桥小脑角)神经鞘瘤 治疗经过:入院后完善相关检查,排除手术禁忌,于2018-08-2。右侧桥小脑角占位病变切除术,术后病理 回:右侧桥小脑角神经鞘瘤口术后予以抗感染、神经营养等对症支持治疗。

随访 讨论

1.定期复查;2.不适随诊

发布于 18-09-24 19:43

0 个评论

暂无评论
发送