打开应用

膀胱高级别尿路上皮癌

蔡医师   双流区第一人民医院
膀胱癌

主诉 病史

患者男性,70岁。 主诉:尿频、尿急、尿痛3+月。 现病史:3+月前患者无明显诱因出现尿频、尿急、尿痛,于当地医院就诊诊断为膀胱癌,行“经尿道膀胱肿瘤电切术”(具体不详)。术后病理提示:乳头状尿路上皮癌(WHO高级别),局灶浸润性尿路上皮癌形成,癌浸润固有层,固有肌层未见癌浸润。术后恢复可,无尿频、尿急、尿痛等不适,于外院行“吉西他滨膀胱灌注”治疗(具体不详)。2+周于外院复查“膀胱镜”见膀胱内占位(具体不详),取活检提示“膀胱癌复发”(具体不详)。患者为求进一步治疗就诊于我院,门诊以“膀胱恶性肿瘤”收入我科。 患者患有高血压10+年最高血压160mmHg,长期口服药物降压:左旋氨氯地平2.5mg qd、维尔亚 4mg bid,近期未规律监测血压;高血脂10+年,长期口服阿托伐他汀20mg qd,平日未规律监测血脂。 患者患有糖尿病10+年,餐后2h血糖于10-14mmol/L波动,长期口服二甲双胍0.5g tid,米格列醇 50mg bid,长期注射胰岛素优泌林70/30 早18U,晚12U。 既往史:患者29+年前因“肝肿瘤”于我院行左半侧肝切除(具体不详);患者23+年前于我院行“空肠腺癌切除术”(具体不详);患者于1+年前外院行“白内障手术”(具体不详)。

查体 辅查

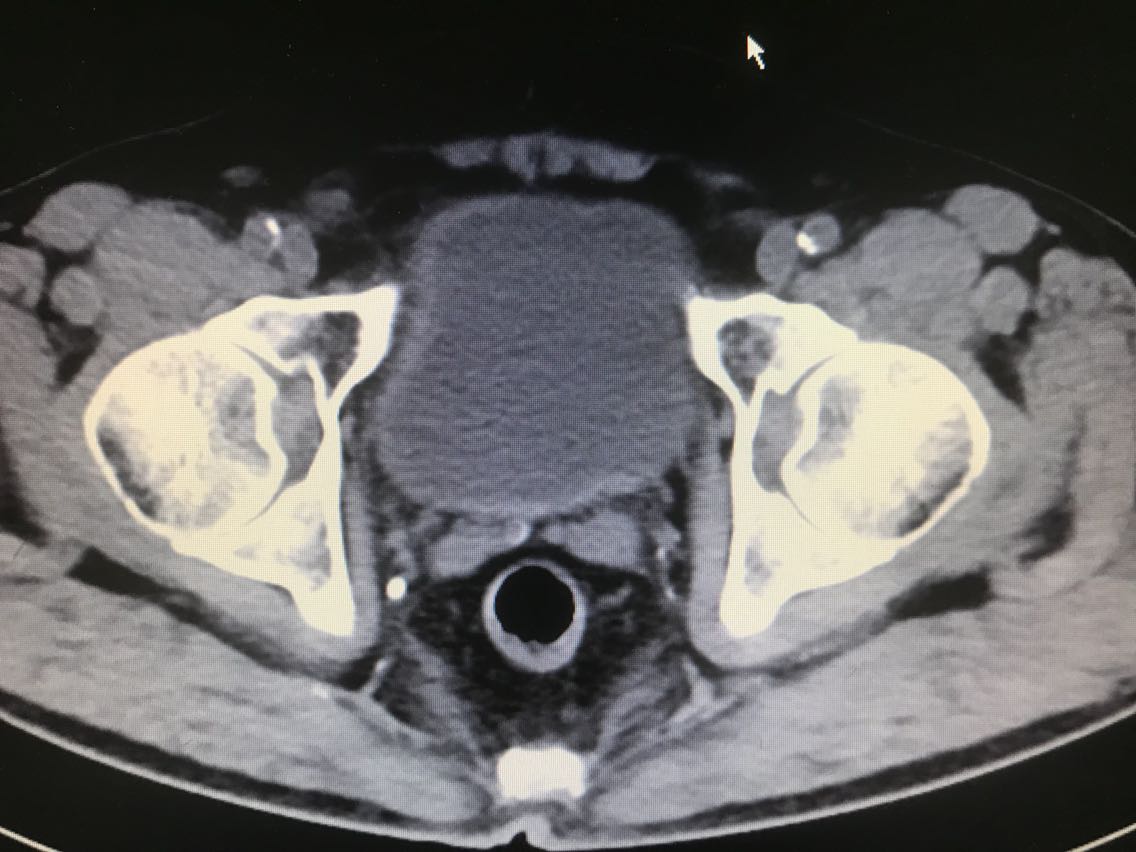
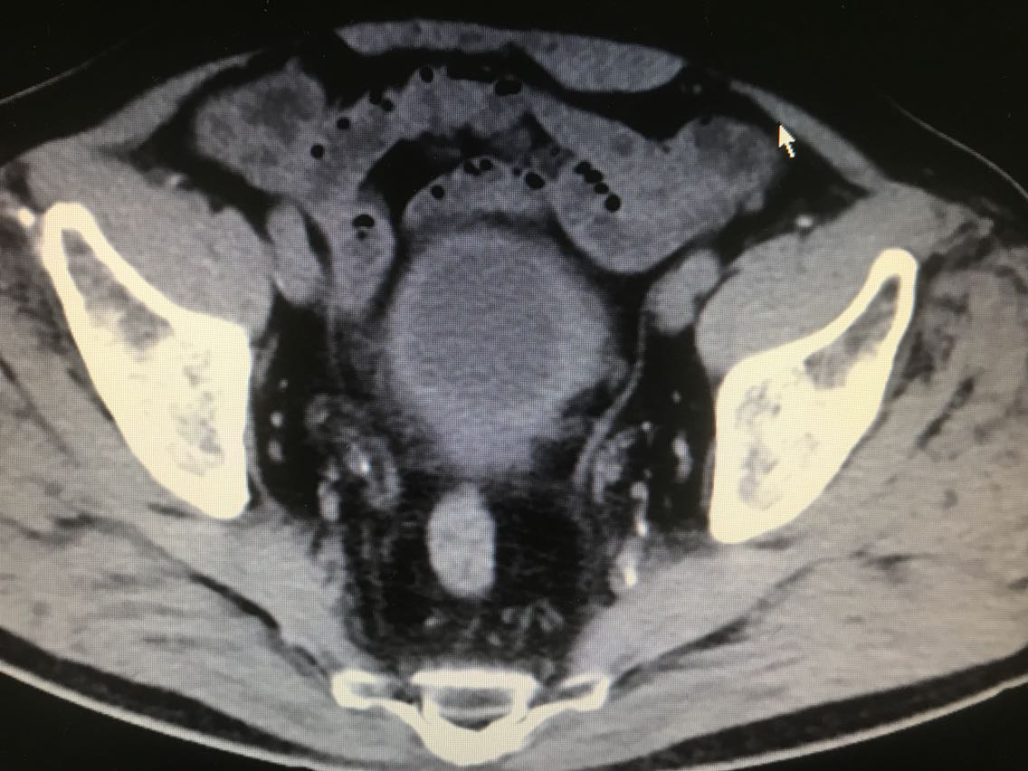
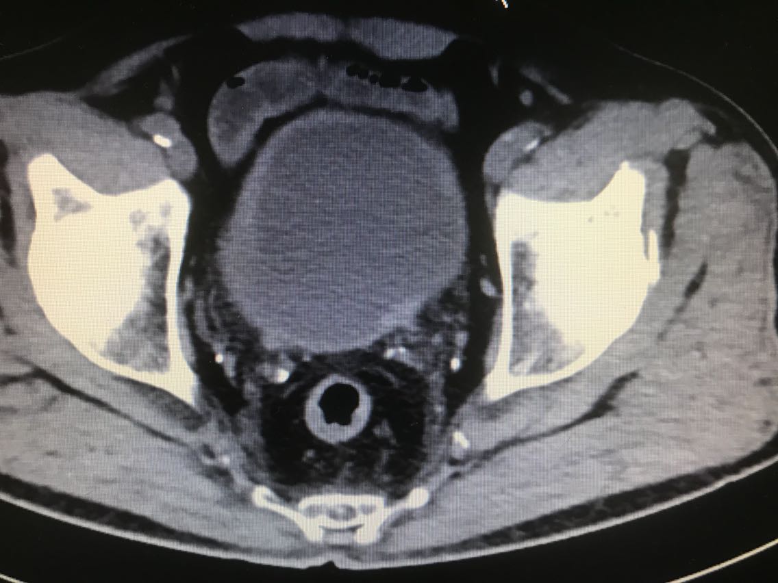
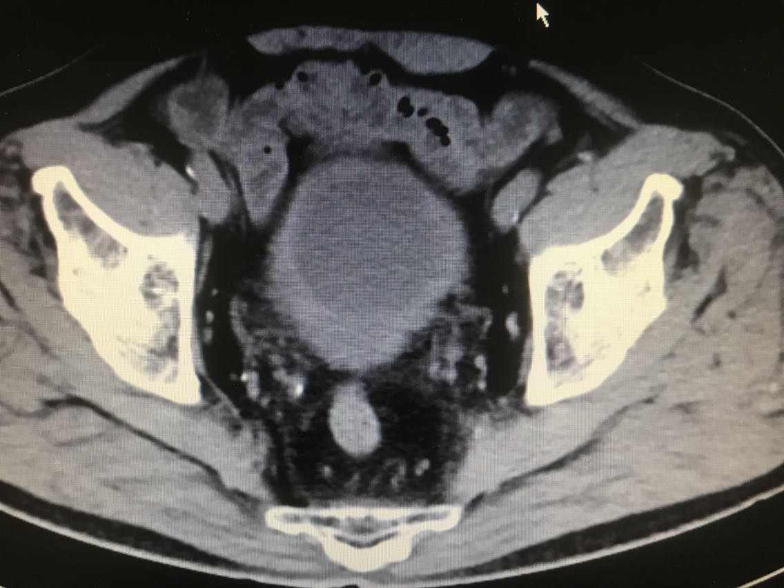
查体:无特殊。 辅助检查: 全腹增强CT示:膀胱做后壁结节影,多系占位;直肠下段管壁肿胀;腹股沟区域可见淋巴结显示; 膀胱占位病检示:乳头状尿路上皮癌(WHO高级别),局灶浸润性尿路上皮癌形成,癌浸润固有层,固有肌层未见癌浸润。“基底”:电切标本,送检纤维结缔组织及固有几层均未见癌浸润。

诊断 处理

诊断:1、膀胱恶性肿瘤;2、高血压2级 很高危;3、糖尿病;4、右肾囊肿;5、左肝切除术后;6、空肠肿瘤术后。 治疗:腹腔镜膀胱癌根治术。

随访 讨论

尽管患者膀胱癌属于T1期,但是TURBT术后仅3个月就复发,且肿瘤病理分级为高级别。对于这类高级别的T1期膀胱尿路上皮癌,在与患者沟通后,也可行膀胱癌根治术。首选腹腔镜膀胱癌根治术。

发布于 18-08-14 23:15

1 个评论

发送