打开应用

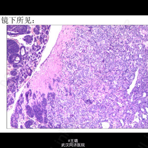
肾结石术后,膀胱高级别尿路上皮癌

王医师   华中科技大学同济医学院附属同济医院
肾结石

主诉 病史

患者,男,67岁,高血压10年,1年前发现肾结石,给予内镜取石治疗,近期出现终末尿血尿,膀胱镜发现膀胱占位,行电切术后病检示膀胱高级别尿路上皮癌,拟行膀胱癌根治术。

发布于 15-01-22 11:29

1 个评论

发送