打开应用

打篮球致右胫骨平台骨折

蔡医师   双流区第一人民医院
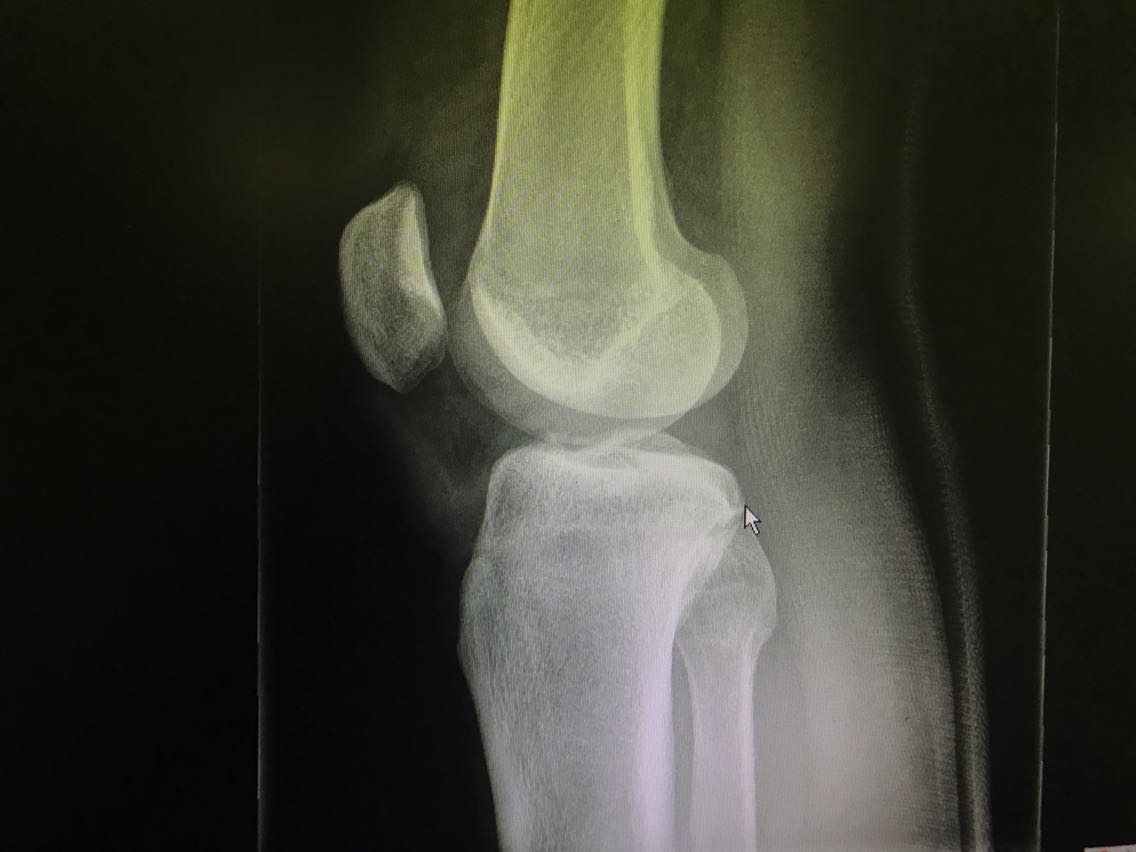
胫骨平台骨折

主诉 病史

患者男性,26岁。 主诉:打篮球时受伤致右膝关节疼痛、功能障碍3天。 现病史:3天前患者打篮球时跳跃落地后以右足着地致右膝关节受伤,具体不详。伤后即感右膝关节剧痛,伴活动障碍,无意识障碍等不适。就诊于当地医院,给予对症处理后回家休息。3日来患者右膝关节疼痛无缓解,以屈曲时为甚。再次就诊于当地医院,行DR检查示:右胫骨平台骨折。患者为求进一步治疗,就诊于我院,急诊入我科。 既往史无特殊。

查体 辅查

查体:右膝关节肿胀,下前方压痛,右膝关节呈强迫伸直位,被动屈曲时疼痛加重。 辅助检查: DR检查示:右胫骨平台骨折。

诊断 处理

诊断:右胫骨平台骨折。 治疗:右胫骨平台骨折切开复位钢板螺钉内固定+右膝关节半月板修复+人工骨植骨。

随访 讨论

患者打篮球时跳跃落地后受伤,伤后即感膝关节疼痛伴活动受限,经保守治疗疼痛无缓解,此时就应该考虑到胫骨平台骨折的可能。胫骨平台骨折多伴有半月板损伤,需同期修复。

发布于 18-02-21 12:33

1 个评论

发送