下载或打开 医联APP 查看完整评论
立即下载
打开APP
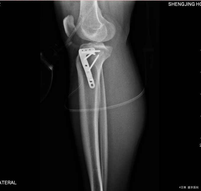
主诉:车祸致右膝部疼痛肿胀活动障碍5小时 现病史:患者及家属代述患者于2015年10月30日下午5点时在走路时被汽车撞伤发生车祸,导致右膝部疼痛肿胀活动障碍,当时无昏迷,送至沈阳中医4院,行DR及影像学检查示:右胫骨平台骨折,右12肋骨骨折。家属为行进一步治疗来我院就诊。经门诊检查后收入我科。患者病来,意识清醒,无头痛头晕,无咳嗽咳痰,无心慌气短,饮食正常,小便正常,大便未排,体重无变化。

专科查体:右小腿近端肿胀明显,无明显开放性创口,痛阳性,叩击痛阳性,可触及骨擦音骨擦感,压痛阳性,,右下肢感觉未见明显异常,右足趾感觉运动未见明显异常,双侧足背动脉搏动良好,末梢血运良好



患者于2015年10月30日因右侧胫骨平台骨折入院,入院后给予消肿止痛对症治疗后,于2015年11月6日在全麻下行右胫骨平台骨折切开复位内固定术,手术顺利,患者安全返回病房。术后常规给予抗炎消肿对症治疗后,待病情稳定后于2015年11月24日遵医嘱出院。

