打开应用

车祸伤致右小腿皮肤软组织撕裂

蔡医师   双流区第一人民医院
小腿撕脱伤

主诉 病史

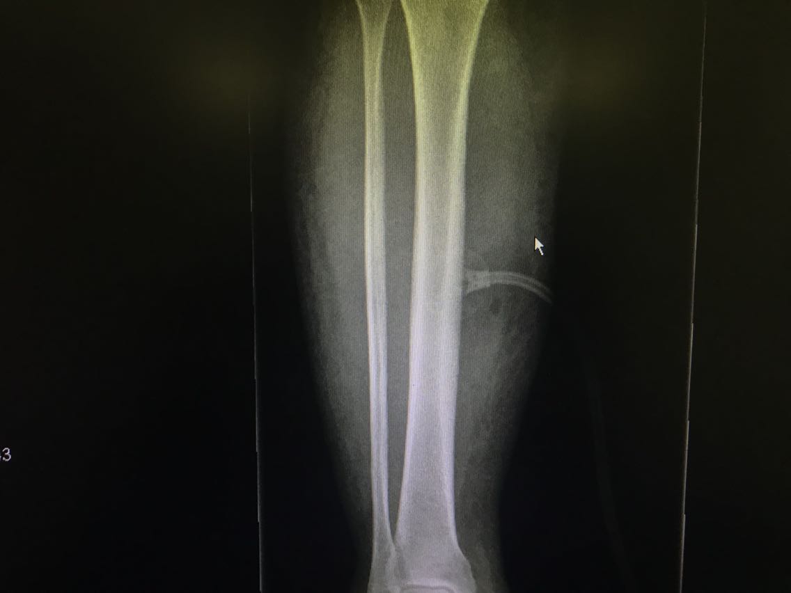
患者女性,54岁。 主诉:车祸伤致右下肢出血伴活动受限18小时。 现病史:18小时前患者乘坐摩托车时被汽车撞击发生车祸,致右下肢开放性损伤,皮肤软组织撕裂,创面出血。无意识障碍等不适。就诊于当地医院,查右下肢DR示:未见明显骨折征象。现为求进一步治疗,就诊于我院,急诊入我科。 既往史无特殊。

查体 辅查

查体:右侧小腿中段后内侧见一大小约5*4cm创面,周围软组织肿胀。 辅助检查: 右下肢DR示:未见明显骨折征象。

诊断 处理

诊断:车祸伤:右侧小腿中段后内侧皮肤软组织、肌肉裂伤伴缺损、创面污染。 治疗:急诊行右小腿清创缝合+血管神经肌腱探查+VAC负压引流术。

随访 讨论

患者体重打200斤,皮下脂肪很厚。初次查体时见患者皮肤软组织缺损较大,似乎缝合张力较大。但术中经剔除了大部分挫伤较重的脂肪组织后,便可以顺利的进行缝合了。

发布于 18-02-04 02:16

0 个评论

暂无评论
发送