打开应用

胸部典型征象丨出现炮弹征,提示啥?

陈医师   南京医科大学附属江宁医院

主诉 病史

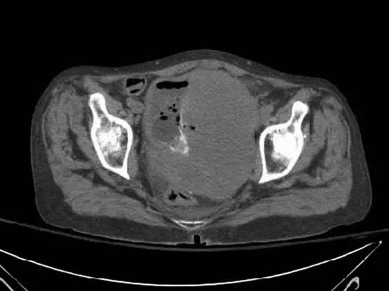
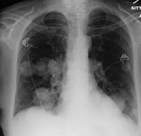
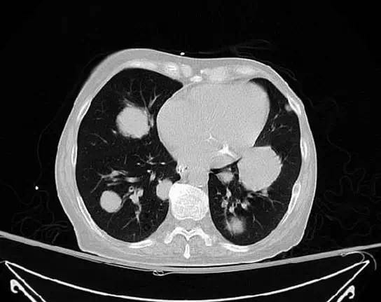
女,62岁,无显著既往史,在家中发现无意识而送医。患者进行紧急插管并就诊于急诊。检查发现患者有肾功能衰竭合并高血钾。胸部X线(图1)显示多发大的结节,高度提示肺转移。胸部(图2)、腹部和骨盆(图3)CT扫描显示毗邻膀胱的盆腔有大肿块,伴双侧肾积水,并有多发较大的空洞肺结节。盆腔肿块活检确诊为高度病变的膀胱移性细胞癌。遗憾的是,病人不接受包括化疗在内的任何侵袭性干预措施,并选择了临终关怀和姑息治疗。 诊断后1个月,患者去世。

查体 辅查

肺部转移结节多呈大小不一、边界清楚的圆形结节,大小不同是由于瘤细胞转移到肺部的时间不同所致,边界清楚是由于充实性生长的癌结节与周围含气正常肺组织之间有良好的自然对比所致。

诊断 处理

通常与弥漫性恶性肿瘤有关。 它们提示预后不良,但偶见报道预后良好的病例。这种典型征象见于肾细胞癌,也见于绒毛膜癌,子宫内膜癌,前列腺癌和一些胃肠恶性肿瘤。但是,与膀胱癌相关的征象罕见。

随访 讨论

通常与弥漫性恶性肿瘤有关。 它们提示预后不良,但偶见报道预后良好的病例。这种典型征象见于肾细胞癌,也见于绒毛膜癌,子宫内膜癌,前列腺癌和一些胃肠恶性肿瘤。但是,与膀胱癌相关的征象罕见。

发布于 18-05-06 13:28

0 个评论

暂无评论
发送