打开应用

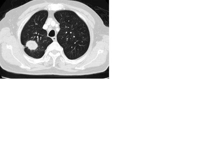
典型胸膜牵拉征

申医师   中国人民解放军总医院第四医学中心

主诉 病史

主诉:咳嗽、咳痰一周,伴发热一天。 现病史:1周前患者因受凉后出现咳嗽、咳痰,咳白色粘痰,口服藿香正气,症状未见明显好转。昨日下午患者自觉发热,未特殊处理

查体 辅查

胸X线(2015-08-28,我院):右上肺可见团块状阴影

诊断 处理

肺癌 治疗:手术切除

随访 讨论

这例患者老问一个问题:做完手术后可以吃中药吗?你们认为中药治肺癌有效吗?如果是你,你怎么回答

发布于 15-09-23 22:22

2 个评论

发送