打开应用

Pilon 骨折

高医师   许德全中医医院

主诉 病史

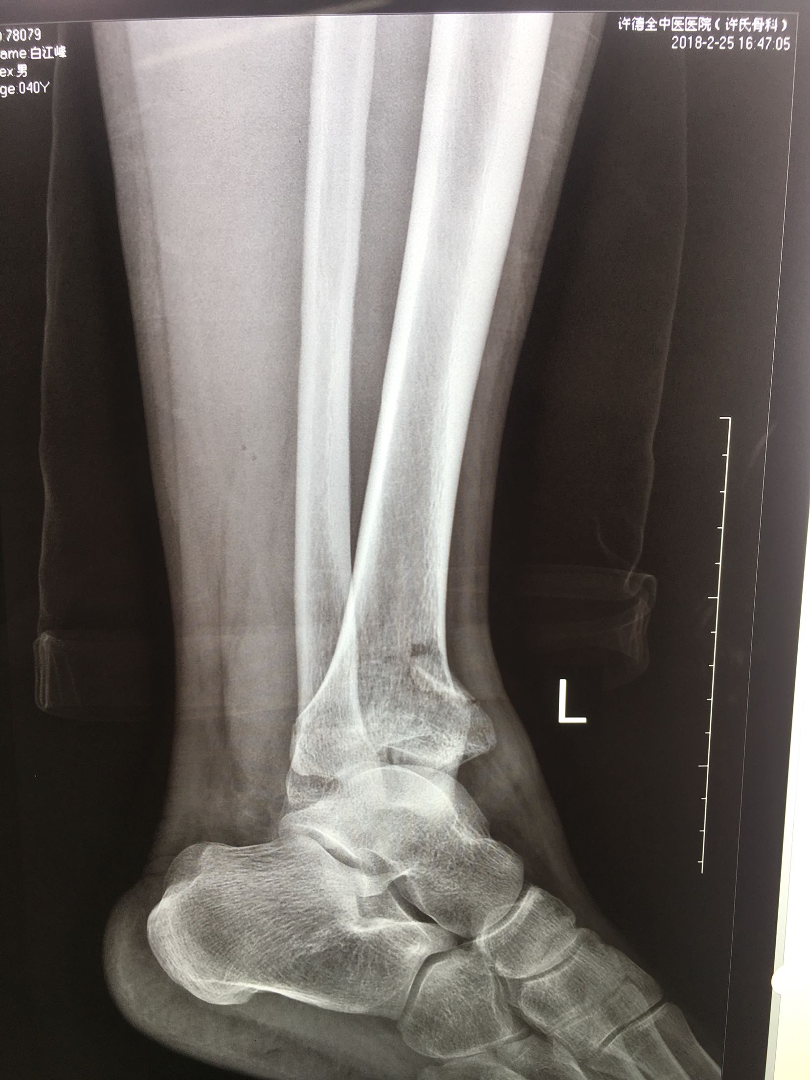
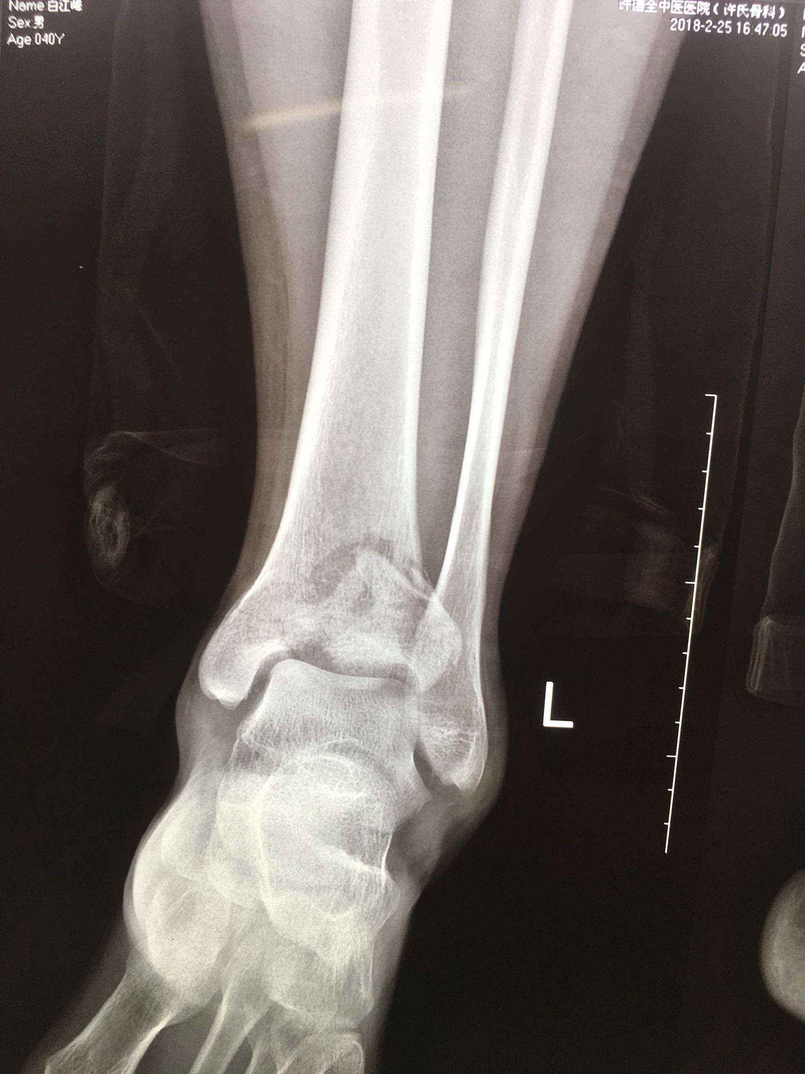
患者,男性,41岁,坠落伤后左踝肿痛,活动受限1小时

查体 辅查

左踝肿胀,局部皮色正常,皮温高,完整,无张力性水泡,畸形,踝关节活动受限,远端血运感觉正常。

随访 讨论

完善检查,在腰麻下行切复内固定术,术后制动,消肿抗炎处理。

发布于 18-02-26 16:39

8 个评论

发送