下载或打开 医联APP 查看完整评论
立即下载
打开APP
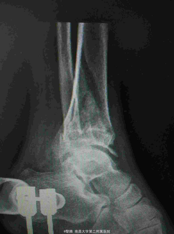
摔伤致左足肿痛,活动受限半天 患者中年男性,因不慎摔倒左足着地,出现左足肿胀疼痛,伴有明显活动受限,无开放性伤口患者伤后未诉明显左足感觉异常。伤后急诊入我院就诊。
查体:左足及左踝关节肿胀明显,局部压痛明显,局部皮肤可见张力性水泡,左踝关节活动受限明显,足背动脉搏动存在,无明显感觉异常。 辅查:踝关节正侧位片提示胫腓骨远端骨折


诊断:Pilon骨折 治疗:骨折切开复位内固定
讨论:患者伤后出现张力性水泡,软组织条件差,需消肿后方可手术,常出现消肿时间长情况,可嘱患者加强足趾活动促进消肿,不过应交代消肿时间长,避免患者及家属急躁要求手术