打开应用

前列腺癌or膀胱癌

杨医师   锦州市中心医院
前列腺癌 膀胱癌

主诉 病史

67岁男患者 2年前患者因为尿潴留检查发现前列腺癌,行经尿道前列腺癌电切改善排尿,术后给予内分泌治疗,5天前患者出现肉眼血尿,尿频、尿急、尿痛症状严重。患者为求进一步诊治来我院。患者发病以来精神状态差,体重减轻。

查体 辅查

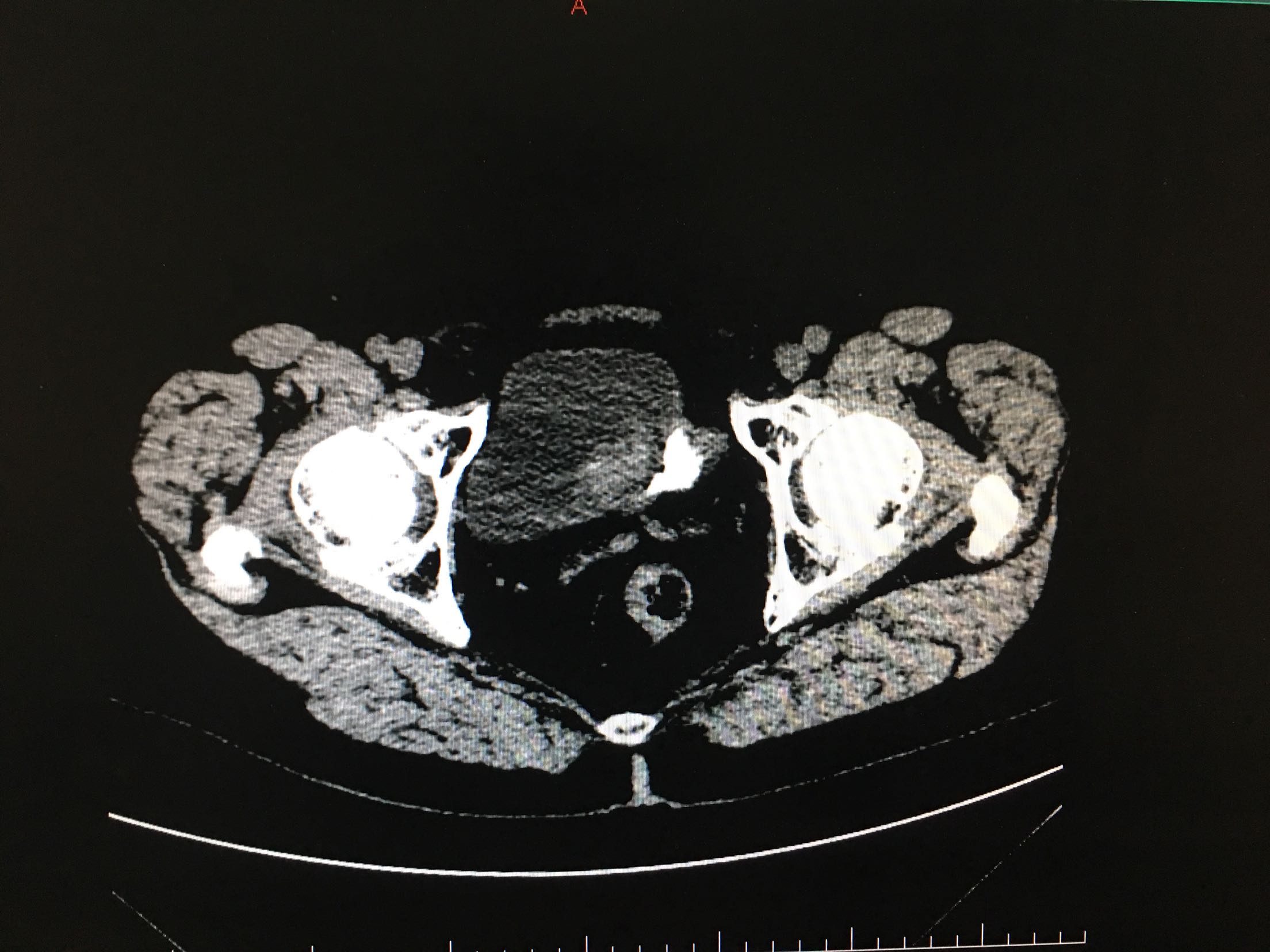
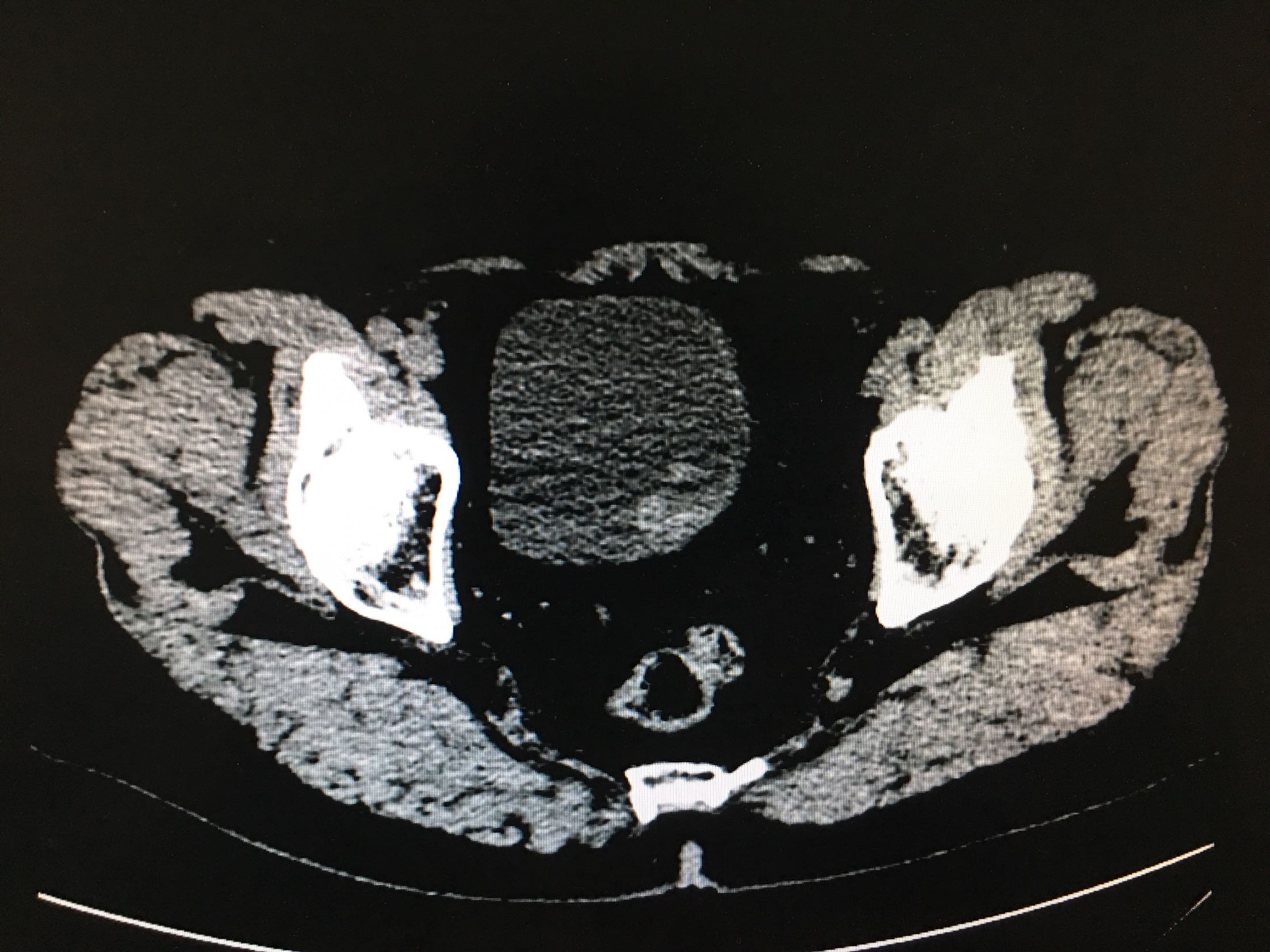
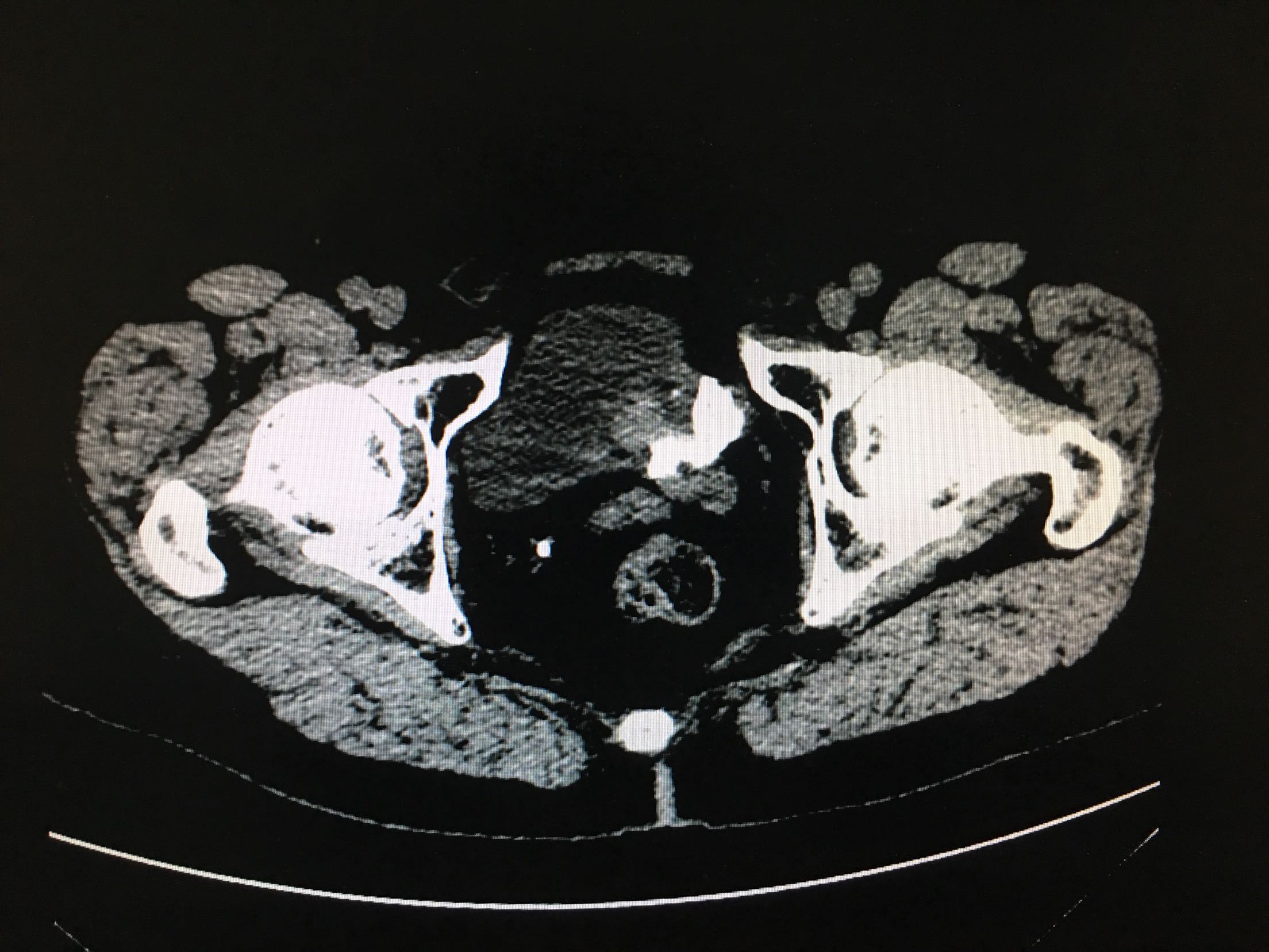
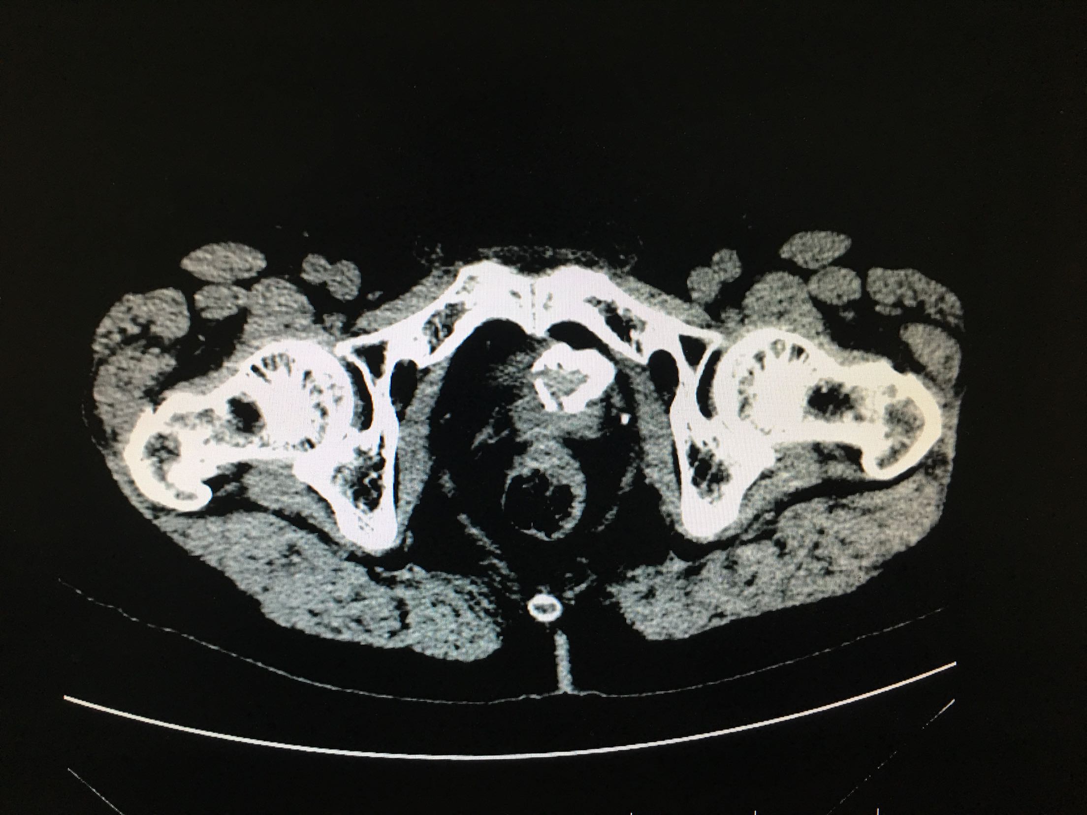
查体:双肾区无叩击痛,双输尿管走形区无压痛,耻骨上压痛,叩诊未见明确浊音。 辅助检查:ctu:膀胱占位性病变及直肠壁增厚,结合病史考虑前列腺癌伴膀胱及直肠受累。 psa:35ng/ml。

诊断 处理

肉眼血尿 前列腺癌?膀胱肿瘤? 待膀胱镜检查

随访 讨论

前列腺癌常易发生骨转移,引起骨痛或病理性骨折、截瘫,严重可危及生命。

发布于 18-02-15 09:55

10 个评论

发送