打开应用

伸长牙去髓术

孙医师   空军军医大学口腔医学院

主诉 病史

患者,女,55岁。接修复科转诊要求46牙去髓术。 患者口内多颗牙缺失,要求修复,修复科会诊后要求46牙行去髓术,无冷热刺激痛。否认全身系统性疾病,无药物过敏史。

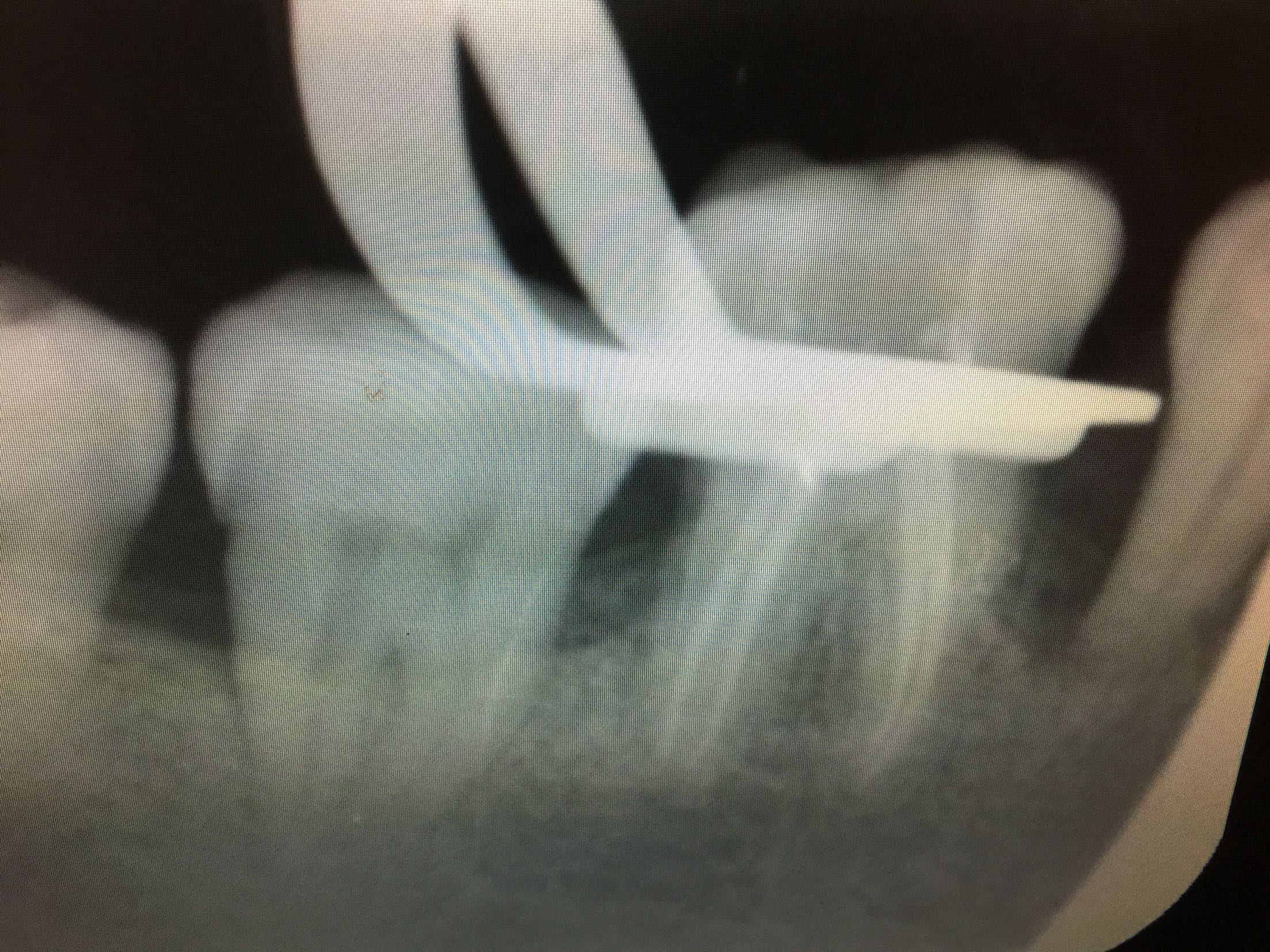
查体 辅查

检查:全口卫生差,牙石++,软垢+,牙龈红肿,有退缩。口内多颗牙缺失,46牙伸长,松-+。 X线:46牙伸长,未行根管治疗,根尖区未见暗影。

诊断 处理

诊断:46牙伸长 全口牙周炎 牙列缺损 治疗计划:46牙去髓术 全口洁治 择期修复缺牙区 治疗:碧蓝麻局部浸润,46牙去净龋坏,开髓揭髓顶,探查根管4根,牙髓摘除术,k挫初步预备,根管测长仪测量根管长度,各根管内导入根管润滑剂EDTA,Protaper镊钛器械预备根管,冲洗,超声荡洗,水溶性氢氧化钙充填根管,暂封,约复诊。 复诊:一周后,诊间无不适,46牙暂封完好,冷-,探-,叩-,不松。 试主尖,

根充

择期修复

发布于 17-12-31 13:53

3 个评论

发送