打开应用

脑梗死 左侧大脑中动脉M1段狭窄

韩医师   大连市旅顺口区人民医院

主诉 病史

主诉:左侧肢体活动不灵2小时 现病史:2小时前无诱因出现左侧肢体活动不灵,舌发板,无饮水呛咳,无吞咽困难,无头晕头痛。病前3天出现一过性左手麻木,持物不稳,数秒后好转。 既往史:体健。吸烟史20余年,20支/天。

查体 辅查

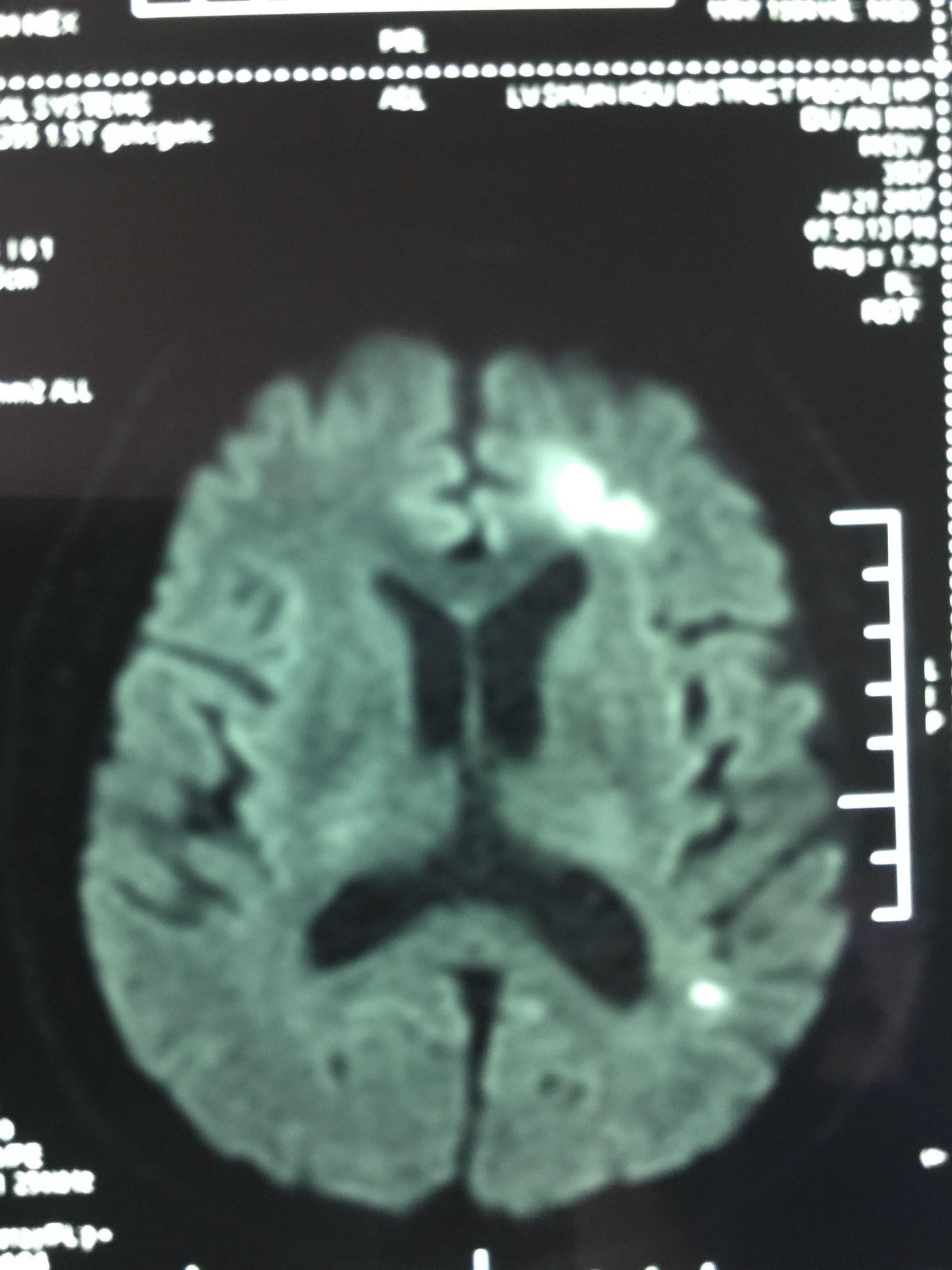
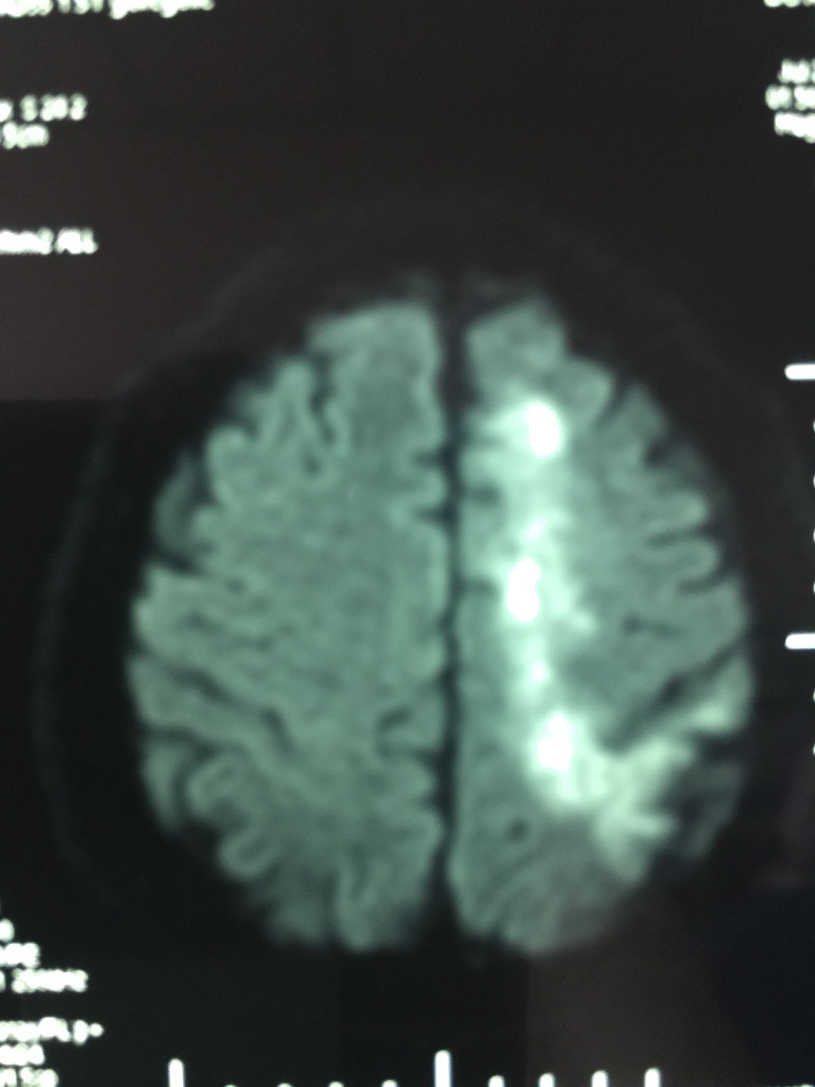
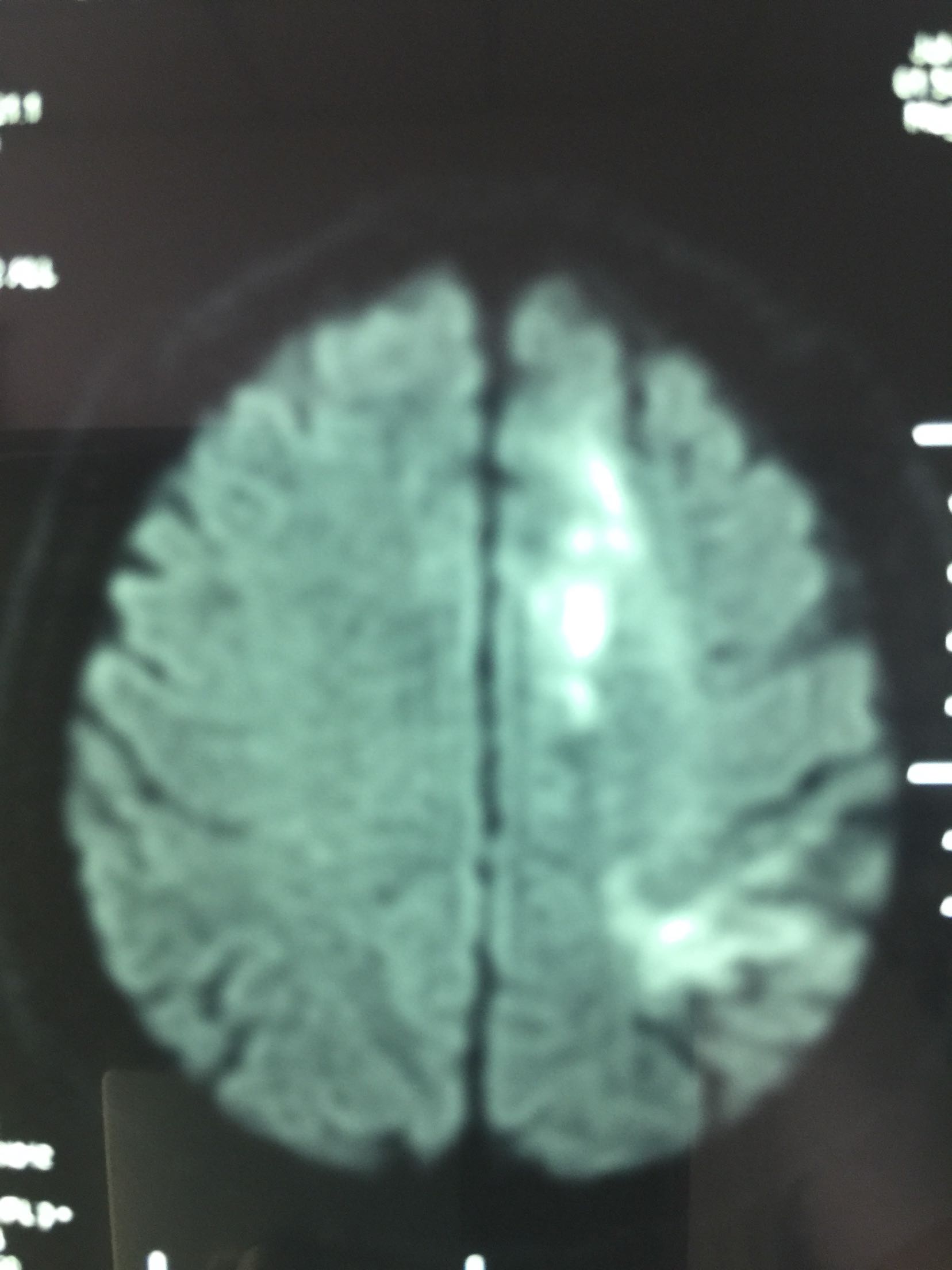
查体:T:36.5℃ P:68次/分 R:18次/分 Bp:120/70mmHg 内科系统:正常 神经系统:神志清楚,言语欠流利,查体合作,平车推人病房。左侧鼻唇沟浅,伸舌左偏,左侧肢体肌力0级,左侧肢体腱反射消失,左巴士征阳性。 辅助检查:血尿常规:正常 肝功、生化:正常 LDL-ch:5.12mmoL/l 心电图:窦性心律 头MRI+MRA、头CTA:

见下图

诊断 处理

诊断:脑梗死 右侧大脑中动脉M1段重度狭窄 治疗:阿替普酶溶栓 醒脑静营养神经 长春西汀改善循环 丁苯肽建立侧枝循环 24小时后阿司匹林 氯比格雷抗血小板 瑞舒伐他汀降脂稳定斑块

随访 讨论

随访和讨论:患者诊断明确,下一步介入治疗

发布于 17-08-03 10:41

24 个评论

发送