打开应用

心肌致密化不全

孙医师   四川大学华西医院
心肌病 心肌致密化不全 心肌重构

主诉 病史

患儿女,5岁,因发现心脏长大1天入院。患儿反复咳嗽1月余,后于入院前1天行胸片提示心影增大。平素无乏力、胸闷、活动耐量下降、气促等表现。

查体 辅查

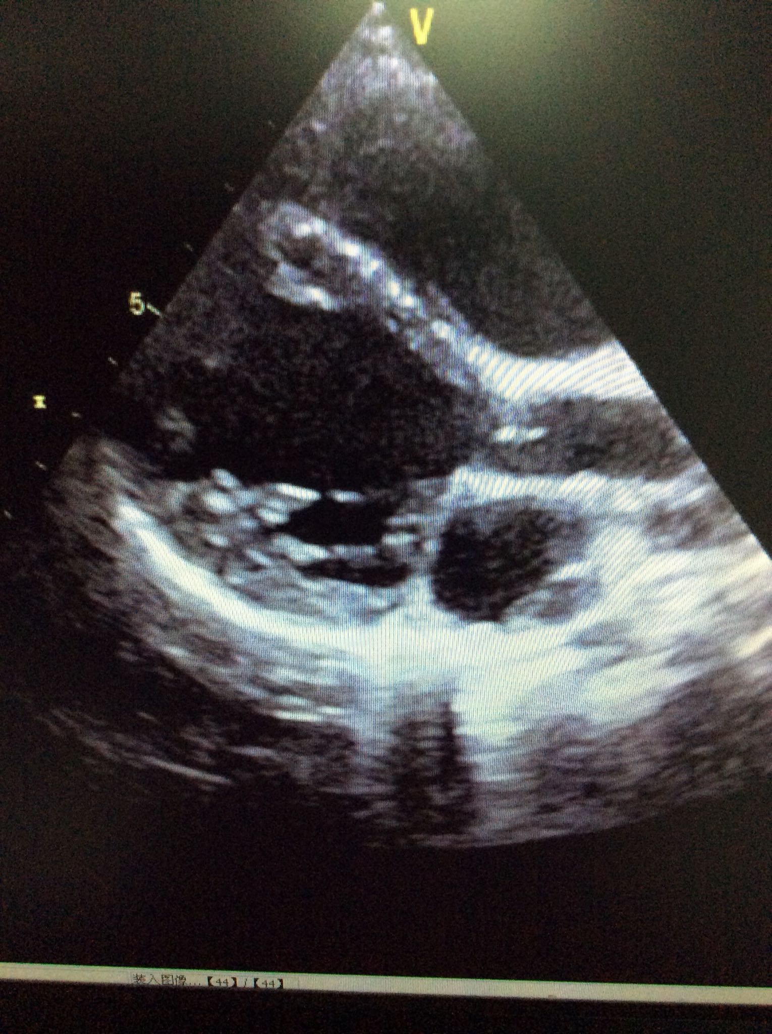
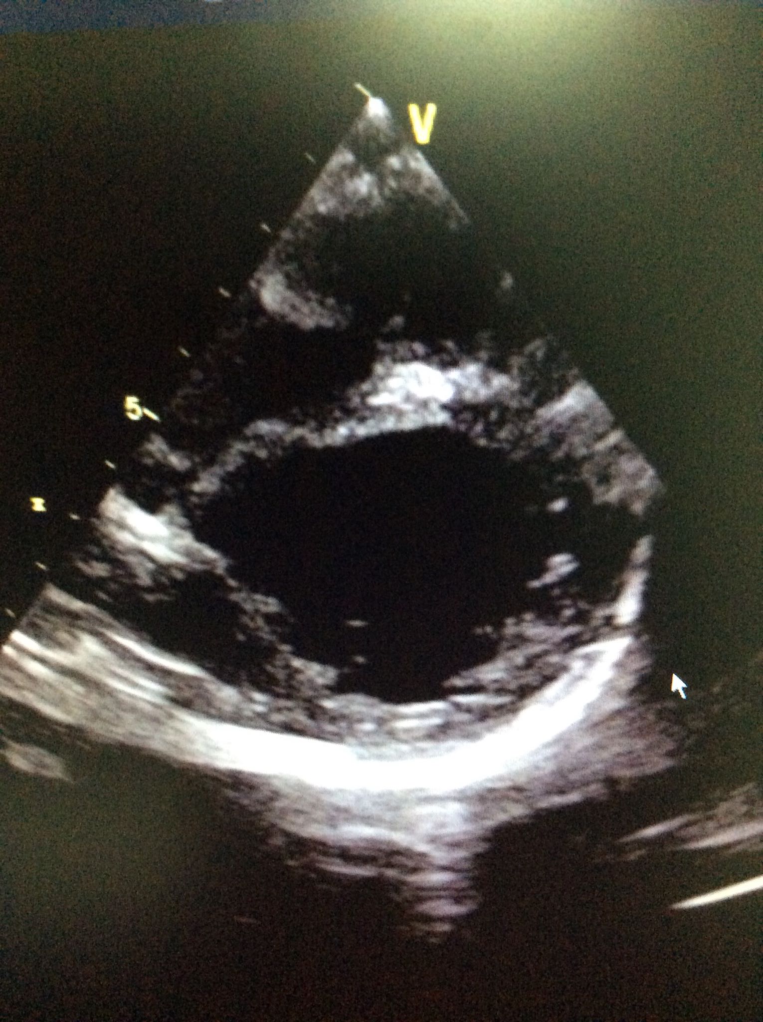
查体:心界增大,心音尚有力,肝脏肋下4cm,脾脏未触及。 心脏超声:全心长大,心机致密化不全,EF40%。心电图:窦性心律,异常Q波。

诊断 处理

诊断:心肌致密化不全 进一步完善CTA未见冠脉起源异常,心脏MRI尚未回示。予地高辛强心,卡托普利改善心是重构,利尿,保心等治疗。患儿一般情况可,目前仍在治疗中。

随访 讨论

本病预后差,多为胎儿期发育异常,部分因冠脉起源肺动脉者可能有手术机会。需父母完善心脏超声协助诊治。

发布于 17-07-24 01:09

37 个评论

发送