打开应用

慢性踝关节外侧不稳定

王医师   包头云龙骨科医院
关节不稳定

主诉 病史

主诉:反复右侧踝关节扭伤3年余。 病史:患者F/60,自述3年前扭伤右足踝,未予以重视及治疗,后反复出现右侧踝关节扭伤,目前自觉右踝松弛,不能做剧烈运动,局部无明显疼痛。

查体 辅查

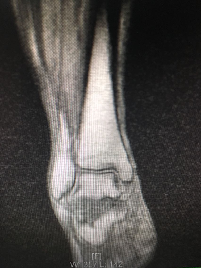
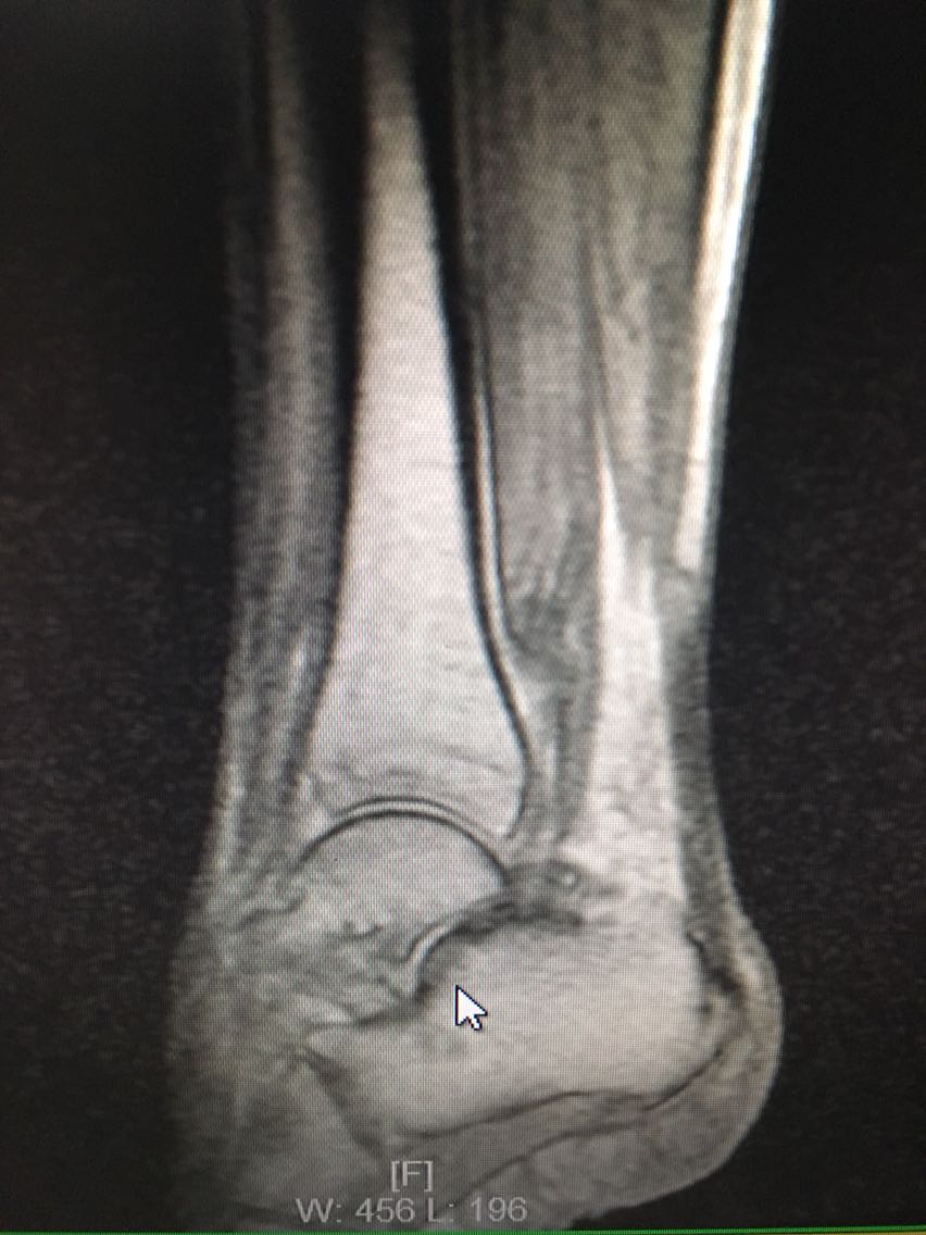
查体:右踝关节踝前抽屉试验和内翻试验阳性,局部无压痛。 辅查:MRI检查如下

诊断 处理

诊断:慢性踝关节不稳定 治疗:前抽屉试验阳性提示踝关节极不稳定,慢性损伤,重建是较好的选择。术中探查见距腓前韧带和跟腓韧带均极度松弛,决定取腓骨短肌腱重建;手术中以直径3.5mm挤压螺钉挤压固定,不能影响踝关节跖屈背伸角度,不能太紧。

随访 讨论

讨论:手术指征:慢性、系统性不稳定、非手术治疗失败;禁忌征:以疼痛为主要问题,而不存在不稳定情况。

发布于 17-06-30 22:14

18 个评论

发送